キレイラインKIDS完全ガイド|対象3〜12歳・料金15万円の小児マウスピース矯正

お子さまの歯並び、「このままで大丈夫かな…」と気になっていませんか?早めに相談したいけれど、「小児矯正って高そう」「本当にうちの子に合うの?」と迷う保護者の方も多いのではないでしょうか。この記事では、キレイラインKIDS(キッズ向けマウスピース矯正)について、対象年齢・料金・特徴・治療の流れを徹底解説します。

キレイラインKIDSとは?
キレイラインKIDSは、3〜12歳のお子さま向けに設計されたマウスピース型の小児矯正プログラムです。成長期の顎の発育を活かして歯並びを整え、将来的な矯正治療の負担を減らすことを目指します。
大人向けのキレイライン矯正と同じく、透明で目立ちにくいマウスピースを使用し、自宅装着を中心とした生活スタイルに寄り添うプログラムです。


対象年齢と適応
- 推奨年齢: 3〜12歳
- 初診時年齢: 3〜11歳
- 鼻呼吸ができること(できない場合は事前治療が必要)
成長や歯列の状態によっては、キレイラインKIDSのみでは対応できない場合もあります。その際は、提携クリニックで追加の小児矯正(Ⅰ期治療)をご提案することも可能です。初回検診で適応を確認しましょう。
料金プラン
| 項目 | 料金(税込) |
|---|---|
| 治療プログラム | 165,000円(15万円+税) |
| 初回検診料 | 3,300円〜 |
| 再診料 | 1回につき3,300円程度 |
| マウスピース再作製料 | 1枚13,200円 |
一般的な小児矯正(Ⅰ期治療)は30〜50万円程度かかることが多いなかで、キレイラインKIDSは通常の小児矯正の半額以下で始められます。
一部の提携クリニックではデンタルローンを利用して月々約3,500円程度の分割払いも可能です。
キレイラインKIDSの7つの特徴
1. リーズナブルな料金設計

通常の小児矯正と比べて半額以下の料金で始められます。お子さまの矯正治療は期間が長くなりがちですが、費用面の負担を軽減することで、早めに着手しやすい設計になっています。
2. 痛みが少ない

歯を強く押して動かすのではなく、歯に直接力をかけにくい設計のため、痛みや違和感が少ないのが特長です。お子さまが治療を嫌がりにくく、継続しやすくなっています。
3. 自宅装着が中心(1日10時間以上)

大人向けキレイライン矯正が1日20時間以上の装着を推奨しているのに対し、キッズは1日10時間以上の装着でOK。就寝時間を中心に装着するので、学校や習い事に影響しにくく、無理なく続けられます。
4. 経験豊富なスタッフ
大人向けキレイライン矯正と同様の体制で、小児矯正の経験を積んだ提携クリニックが対応。お子さまや保護者の不安に寄り添ったサポートを受けられます。
5. 素材へのこだわり
マウスピース素材には医療用エラストマーを採用しています。お子さまが口に入れるものだからこそ、安全性を重視した素材選びが行われています。
6. 悪習癖の改善サポート

マウスピースの装着に加えて、口呼吸や舌癖、指しゃぶりなど、歯並びに影響する生活習慣の改善もサポート。歯並びだけでなく、お口全体の発育を整えることを目指します。
7. 日本人の骨格に合わせた設計

キレイラインKIDSは、日本人の子どもの顔や顎の大きさを踏まえて設計されています。海外製品をそのまま流用するのではなく、国内の症例データを活かしたマウスピースです。
治療の流れ
ステップ1: Webで初回検診予約

公式サイトから提携クリニックを選び、初回検診を予約します。予約時に保護者の同意書が必要なため、事前にご準備ください。
ステップ2: 初回検診(約60分)
- 問診票の記入
- 口腔内の診察
- 歯型の採取
この時点で治療が可能かどうかを判定し、適応の場合はマウスピース作製に進みます。
ステップ3: マウスピース製作(約2週間)

お子さまの歯型データをもとに、専用のマウスピースを作製します。
ステップ4: マウスピースお渡し(約60分)
- 精密検査の実施
- 装着方法・保管方法の説明
- 装着スケジュールの確認
ステップ5: 定期検診(3〜4ヶ月に1回、約30分)
歯の動きを確認しながら、必要に応じて次のマウスピースをお渡しします。最短1年以上の治療期間を目安としてください。
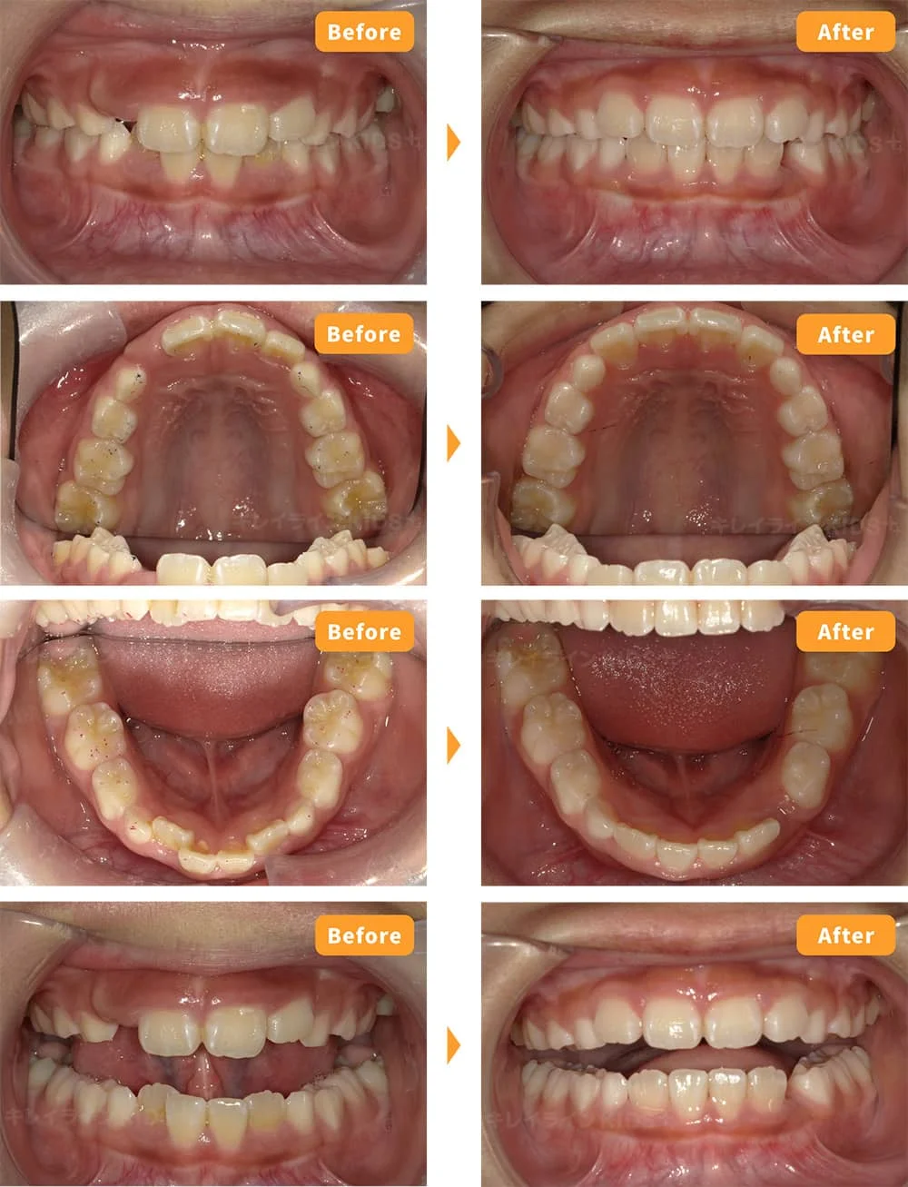
実際の症例紹介
7歳女児:「歯が生えない・ガタガタが気になる」

- 治療期間: 約9ヶ月半
- 結果: 1〜2ヶ月で歯の萌出を確認、叢生(ガタガタ)の改善が認められた
8歳男児:「受け口・ガタガタ」

- 治療期間: 約1ヶ月半
- 結果: 逆被蓋(受け口)が改善、下顎の叢生も解消の方向へ
※症例は個人差があり、同様の結果を保証するものではありません。
よくある質問(FAQ)
Q. かなりガタガタでも効果はありますか?
キレイラインKIDSのみでは対応できない場合、追加で小児矯正(Ⅰ期治療)をご提案することも可能です。まずは初回検診で適応を確認しましょう。
Q. 装着期間はどれくらい?
最短1年以上を推奨しています。お子さまの成長や歯の動きによって個人差があります。
Q. 乳歯が抜けていても治療可能ですか?
痛みがなければ治療可能です。乳歯から永久歯への生え変わり時期に合わせて、キレイラインKIDSで顎の成長をサポートできます。
Q. デメリットはありますか?
まれに口内炎が発生する可能性があります。マウスピースのフィッティングを提携クリニックで調整することで改善できる場合がほとんどです。
Q. 鼻呼吸ができない子は?
鼻呼吸ができない場合は、事前に耳鼻科での治療や口腔機能トレーニングが必要となることがあります。初回検診で判定します。
Q. 大人のキレイライン矯正との違いは?
キッズ版は成長期の顎の発育を活かす点が大きな違いです。装着時間も1日10時間以上と短く、就寝中の装着が中心です。大人のキレイライン矯正の完全ガイドはこちら。
重要な注意事項
- キレイラインKIDSは自由診療(保険適用外)です。
- 1日10時間以上の装着が必須となります。
- マウスピース素材には鉱油を使用しています。アレルギーが心配な方は事前にご相談ください。
- 装着中も唇を閉じるトレーニングを推奨します。
- 破損・紛失時のマウスピース再作製料は1枚13,200円(税込)です。
まとめ|お子さまの歯並びは早めの相談が鍵
小児矯正は「気になった時がタイミング」と言われます。成長期の顎の発育を活かせる時期は限られているため、早めに相談することで選択肢が広がります。
キレイラインKIDSは、費用・装着時間・痛みの面でお子さまと保護者の負担に配慮したプログラムです。まずは初回検診でお気軽にご相談ください。
※本記事の内容は一般的な情報提供を目的としており、医療アドバイスに代わるものではありません。
※保険適用外の自由診療となります。
※掲載している料金はすべて税込み価格です。
※効果には個人差があります。
※キレイラインKIDSでは、1日10時間以上のマウスピース装着が必要です。
関連記事
