「低コストで効果抜群!」と絶賛する岩尾さんが友達にも
オススメしたキレイライン矯正の魅力とは
小学校3年生から高校入学までワイヤー矯正を行っていた岩尾さん。
大人になってから再び歯並びが気になり、キレイライン矯正を始めました。
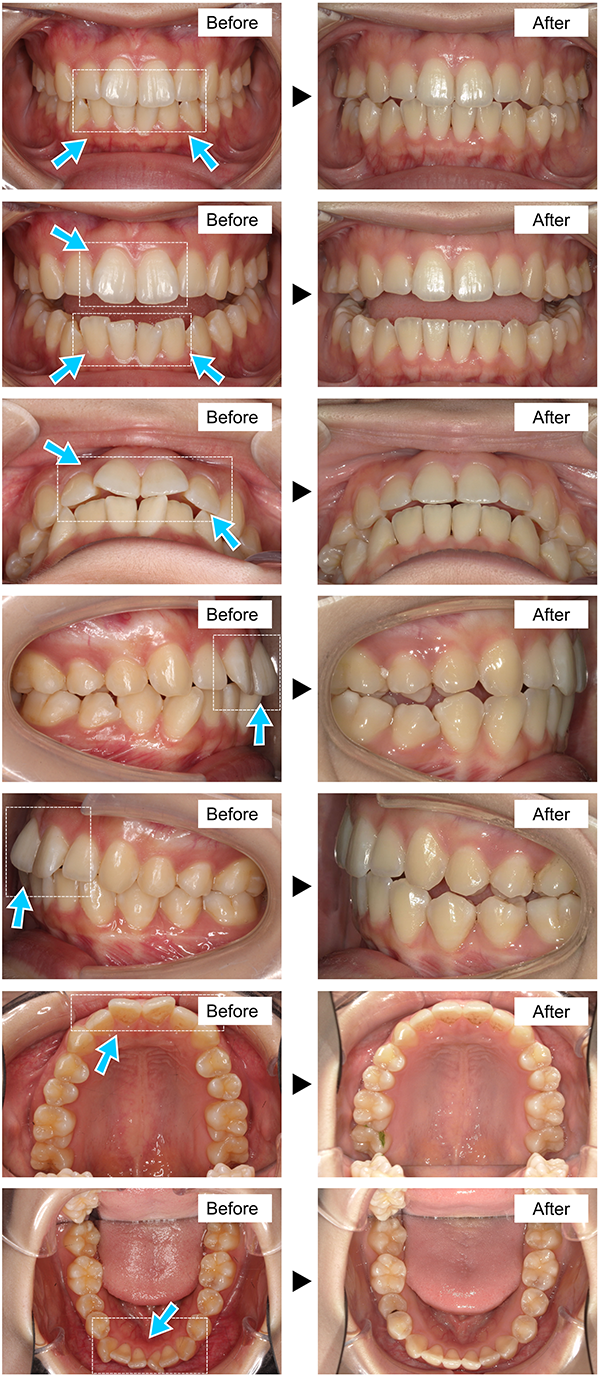
ー岩尾さんの歯並びの変化ー
治療回数10回、金額451,000円(税込550,000円)、期間1年8ヶ月。キレイライン矯正は患者様のご希望合わせて治療を進められるため、同じ回数でも治療期間が異なる場合がございます。また随時治療サイクルが見直されております。治療期間は参考程度にご覧ください。効果には個人差がございます。拡大床・ホワイトニング併用(注1)
【マウスピース矯正(キレイライン矯正含む)の主なリスク】
虫歯・歯肉炎・歯周病・ブラックトライアングル・歯根吸収・歯肉退縮・1日20時間以上のマウスピース装着が必須・マウスピースにより痛みを感じる可能性・治療中に一時的に噛み合わせに不具合をきたす可能性・リテーナーを最低1年間は1日20時間以上装着、その後徐々に着用時間を減らし、2年目以降は夜間のみの着用を推奨。その他注意事項や稀に起こるリスクや副作用は下記をご確認下さい。
詳しく見る
ーいつからキレイライン矯正を始めましたか?
今からちょうど1年前ぐらいです。
実はそれよりもずっと前の小学校3年生ぐらいの頃にワイヤーで矯正していたんですよ。
ーなるほど。最初に矯正を始めたキッカケは何だったのでしょうか?
祖母からの提案ですね。昔の人だったので、女性は歯並びが綺麗な方がいいということで勧められました。私岩手県が地元なのですが、田舎の方だったので矯正を専門にしている歯医者さんが無くて……。普通の歯医者さんにやってもらっていたのですが、正直効果はそんなに得られなかったです。
リテーナーも無かったため、すぐ後戻りもしちゃい、結局ズレたままでした。
その後大学に入学したのですが、自分の見た目や服装なども気にする年頃ということもあり、また治療したいなと思ったのです。
ーなるほど、再び気になり始めたんですね。
大学に入りちょうど3年になったぐらいで再び気になり出したものの、やはり治療費で80万円とか掛かってしまうので、なかなか手は出し辛かったですね。
なので、とりあえず学生の間は我慢し、社会人になってから矯正しようと考えました。
そして就職し、経済的にも少し余裕が出たこともあり矯正について調べてみることにしたのです。
ーキレイラインを選んだ理由は何でしょうか?
やっぱり価格ですね。経験上どうしても高額なイメージしか無かったので、キレイラインの価格に大変魅力を感じ、カウンセリングに行くことにしたのです。
社会人になったことだし、20万~30万円のお金なら、ちょっと頑張れば貯金もできるので、試してみる価値はあるのかなって。他の治療法は医院も調べましたが、ダントツで違ったので……(笑)。
あと、ワイヤー矯正はもう嫌だってのもありました。あくまで個人的な主観ですが、見た目の悪さとかは気になりますね。
営業職をやっているということもあり、人と話す機会も多く、また、笑顔の写真を撮るってのも少し抵抗もありましたので。そういう観点からも、キレイライン矯正のような他人から見て目立たない治療っていうのはすごく興味深かったです。
ー現在も治療中ですか?
今はリテーナーの段階です。担当の先生とも話し、あと2年ほどで完了するとのことです。キレイライン矯正はその都度歯型もくれるので、変化も実感しやすいのは嬉しいですね。というか、実際にやってみてめちゃくちゃ良いですよね、これ(笑)。
調べてた頃は正直情報も少なく、
「本当にこれで治療できるの?」
って思ってたんですよ。
もちろんキレイライン矯正に対するネガティブな意見もありましたが、体験された方のブログなどを見て情報を集めていました。
ーネガティブな意見というのはどんなものがありましたか?
そうですね。「装着したら痛かった」とか「装着感があって……」とか。でも、結局それってワイヤーも一緒なんですよね。一緒どころか、遥かに痛いんじゃないかと思います。
ワイヤーって口の中の粘膜に引っかかって出血したりとか歯自体が痛いので。私はそれをすでに体験していたので、正直そういうものは気にならなかったです。
ー経験者だからわかることですね!キレイライン矯正のマウスピースは、岩尾さん的にはどうでしたか?
装着感はもちろんありました。ですが、すぐ慣れます。
ワイヤーと比べても口の膨らみはありませんし、閉じにくいってこともありません。
食事の時は外さないといけませんが、自然と手入れする習慣が身に付くと思うので、すぐ自分の生活に馴染むと思いますよ。
私の場合は、新しいマウスピースをつけたら最初の3日は痛かったのですが、大体4日目ぐらいから何も感じなくなりました。
通院も月1回程度のペースなので、苦にはならなかったです。
ーキレイライン矯正を始めるにあたり、初めてマウスピースを渡された時の感想を教えてください。
ワイヤーに比べると、本当にこれで動くの!?とは思いました。
でも装着したら痛みも感じられたので、これは動くなって思いましたね。
装着した時の見た目も最初は気になってましたが、会社の同僚や友人からは全く気づかれませんでした(笑)。
飲み会とかある時に「マウスピース外してくるね」って言って、初めて「え?矯正してたの??」って言われるぐらいでした。
ーキレイライン矯正をして笑うことが増えたとか、生活に変化はありましたか?
笑うことが増えたってのは無いのですが、以前まではちょっとのズレを気にしながら歯磨きしてたりしたのが、気づけば何も思わなくなったことですかね。
写真も笑った時の歯のズレを気にしてましたが、今は全くそんなこともなくなったのは大きいです。
ー実際に自分でも鏡でチェックしたり比較しますか?
しますね。横から見たりします。
治療前は前歯が若干出ていて、そこを揃えて少し引っ込めたかったので、横顔の口元のシルエットの確認はしています。
変化を感じられると、やってよかったなと思います。
田舎の家族にもマウスピースで矯正やってるって話したら、
「マウスピースで出来るんだね、本当に治るの?」
って不思議がっていました(笑)。
ーでは、最後に初めてキレイライン矯正やをスタートさせる方々に対して、岩尾さん的にアドバイスなどありますか?
そうですね。実は私が猛プッシュしたこともあり、友達でキレイラインを始めた人が2人いまして。
オススメしたポイントとしては、1つはやはり低コストで始められるということですね。
2つ目はマウスピースが透明なため、見た目で気づかれにくいという点ですね。
学生のころならまだしも、やはり私みたいに20代になってからだと見た目も気になる方も多いと思うので。
プラスαでホワイトニングとかもできるから良いですよね。
ホワイトニングするときにマウスピースがどうせ必要になるから、キレイラインで作ればそれでホワイトニングできるよっていう3つはオススメしましたかね。
アクセスの良さとか。高田馬場とか銀座にもありますよね。
最初は色々と不安に思うこともあるかもしれませんが、まずは相談に行ってみてください。
特に無理強いされることもなく、的確なアドバイスをいただけると思いますので。
きっと満足するはずですよ!
ーありがとうございました!!
注1:拡大床併用の症例には、別途、拡大床の料金4万円(片顎)が発生。拡大床・削合はキレイライン矯正ではなく、患者様のご要望や症状により医師の判断のもと行われる治療です。詳細は、クリニックに直接ご確認ください。
治療回数を元に最新の料金を記載、期間は実際にかかった治療期間を記載。
上記に記載している各症例の治療費用は、コースで購入した場合の費用です。
1回ずつ購入したい場合は、初回のみ2万円・2回目以降5万円(税込55,000円)の費用になります。
コースを組み合わせたほうが、費用が安くなります。
最後までご覧いただき、ありがとうございます。
効果や感想には個人差がございますが、参考にしてみて下さい。
■キレイライン矯正の特徴や料金については
下記をご覧ください。
https://kireilign.com/case
https://kireilign.com/price
■本ページに関するお問い合わせ先
support@kireilign.com
