「やってみないと分からない」ぐらいの歯並びでも、 今や満足度90%以上の仕上がりに成功した木村さん
韓国出身の木村さん(仮名)。
笑った時の歯並びを高校時代から気にしていましたが、当時は特に治療はせず日本へ留学。
社会人となり日本で働く中、見つけたのがキレイライン矯正でした。
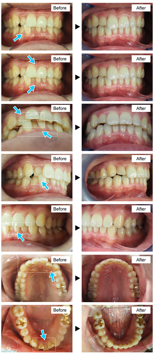
ー木村さんの歯並びの変化ー
ガタついていた下の歯、1本奥に引っ込んでいた上の前歯が改善してきました。
治療回数10回、金額33万円、期間1年3ヶ月、効果には個人差がございます(注1)
―木村さんが歯について悩みを抱いたのはいつ頃からになりますか?
高校生くらいの時ですかね。
前歯が少しズレているのが気になっていて、悩みを抱えていたというよりは笑った時にもっと歯並びが整っている方がいいなって思っていました。
矯正は前から興味はあったのですが、歯の矯正ってワイヤー矯正は時間もお金もかかるという印象もあったので、
いろいろ面倒なことが多いなって思ってしまい、躊躇して手が出せなかった思い出があります。
私は出身が韓国のため、日本へ留学してそのまま日本で働くことになるんですけど、
社会人になってからも気になってはいたので、いつか治したいなと思っていました。
―なるほど。そんな時に出会ったのがキレイライン矯正だったのでしょうか?
そうですね。
キレイライン矯正はマウスピースを着けるだけだから私でも簡単にできるかなって思えたんですよ。
見映えも透明なため、露骨に矯正していると気付かれにくいから良いですよね。
初めて知ったときは、『ワイヤーより全然良いじゃん!』って思いました。
―木村さんがキレイライン矯正に決めた理由は手軽さというのが1番大きいのでしょうか?
もちろんそれもありますが、やはり金額面が大きいですよね。
他と比較してもキレイライン矯正が一番手頃だったので、時間の掛かるワイヤーを使わないといけない野暮ったい矯正よりも、断然身近に感じました。
というのも実は、キレイライン矯正は当時通っていた歯科医院の先生に勧められたんです。
そういうのも重なり、自分でもやってみようかなと思い、始めることにしました。
―最初に先生とお話ししたことって覚えていますか?
もちろんです。
私の場合は他の人よりも歯並びが良くなかったのか、正直試して見ないと分からないと言われてしまいまして……。
通常ですと、10回コースに設定しても大体の方が5〜6回経過した頃には効果も出て、終わりに向かう方が多いらしいです。
ですが、担当医からは私は10回まで試してみないと分からないという判断もあり、
改めて自分の歯並びが悪いんだなと実感しました。
正直なところ、話を聞いている時はまだ迷っていたんですけど、
『一度コースの半分まで試してみて様子を見ましょう。』
と先生が言ってくれたんですよ。
それを聞いて、そこまで言って頂けるのならばやってみようと。
お試しでもできるし、ダメだったら途中でやめても良いかなとも思っていたので、ひとまず挑戦することにしました。
そんな感じでスタートしたのですが、やっぱり先生が言ったように1回では変化なくて……(笑)。
お試しでやったあと、すぐさま10回コースでやってみますとお願いしました。
―そんなことがあったのですね。現在は私から見ても違和感が無いように思えるのですが、キレイライン矯正を始めてどのくらいになるのでしょうか。
本格的にスタートして、大体1年4ヶ月ほどになるのですが、無事に10回のコースは完了しました!
今も綺麗と言っていただいたのですが、私としては、満足度的にはまだ90%なんですよね。
だいぶ前歯は前に出てきてはいるのですが、
残念ながら自分の理想の100%前に出ているかと言われたらそうではなく。
そこがちょっと心残りというか残念でしたけど、
ここまで綺麗になったのでとりあえずは現状のままでいいかなって感じです。
先生も矯正を始める前は『やってみないと分からない』と言ってたぐらいでしたし、難しかったのだと思います。
さらに費用をかければ、完全に治ると思うので少し迷っていたりはするのですけど、
現状で満足している自分もいるし、今はこのままでいいかなって感じです。
―最初に高校生の頃から歯並びが気になっていたと話されていましたが、なぜ今のタイミングで歯列矯正をしようと思われたのですか?
タイミングですかね。
前から気になってはいたのですが、当時の自分は矯正=ワイヤーで高額、時間もかかるっていうイメージしかなかったものでして……。
でもキレイライン矯正ならマウスピースで出来ますよってことだったので、やってみようかなって。
本当はね、就職したタイミングとか20代の頃にワイヤー矯正をやってみようって思った時期もあったんですけど、
時間も無かったし、ワイヤー矯正は痛みや見た目の問題、食事のし辛さなど利便性も良くないですからね。
―過去にはワイヤー矯正も考えられていたのですね。キレイライン矯正を始められて初めてマウスピースをもらって装着した時のことは覚えていますか?
覚えています!
最初見た時は本当にこれで治るのかって正直心配になりました。
でも実際に着けて治療を初めてみると、本当に綺麗になったのでビックリしました。
初めてマウスピースを装着した時は少し痛かったですけどね。
10回コースで、毎回マウスピースの形とかは変わりますけど、最初は大体痛むんですよ。
多分3〜4日は痛いって感じです。
あとはしゃべりにくかったり、食べにくかったりというのはありましたね。
―多少の不便さはありながらも、日に日に良くなることを実感されたのですね?
それが、実は自分では見た目の変化には気づけなくて……(笑)。
回数を重ねるたびに先生から「動いているね」と言われて、初めて実感した感じですかね。
治療中の最初の頃は実感できていなかったっていうのが本音です。
でも、自分で写真に撮って比較を始めたら動いているなってことが分かったんですよ!
5〜6回目あたりからは確実に動いてるなと目で見て分かるようになったので、安心しました。
―最初はあまり実感がなかったとおっしゃいましたが、モチベーションはどう保たれたのでしょうか?
実は今も面倒だなって思っているんですよ(笑)。
でも慣れているから続けれるし、なにより継続することで確実に治ってきますしね。
あとは、とにかく歯並びを良くしようという気持ちでモチベーションは保ちましたね。
これを無駄にしちゃうとせっかくお金を出して時間を費やしたことが勿体無いと感じたので。
ー最後に、これからキレイライン矯正を始めようとする方々にアドバイスをお願いします!
最後まであきらめずに、やり抜くことが重要だと思います。
私も最初は不安を感じていたんですけど、やってみないと分からないこともありますし、
実際に1年くらいやってみて、最終的には90%以上満足できるレベルに達することができたので、
とにかく1度やってみて欲しいと思います!
ーありがとうございました!!
※治療回数を元に最新の料金を記載、期間は実際にかかった治療期間を記載。
※上記に記載している各症例の治療費用は、コースで購入した場合の費用です。1回ずつ購入したい場合は、初回のみ2万円・2回目以降4万円の費用になります。コースを組み合わせたほうが、費用が安くなります。
※キレイライン矯正は患者様のご希望合わせて治療を進められるため、同じ回数でも治療期間が異なる場合がございます。また随時治療サイクルが見直されております。治療期間は参考程度にご覧ください。
最後までご覧いただき、ありがとうございます。
効果や感想には個人差がございますが、参考にしてみて下さい。
キレイライン矯正に少しでも興味があるという方は、ぜひ下記よりご予約下さい。
■キレイライン矯正の特徴や料金については
下記をご覧ください。
https://kireilign.com/case
https://kireilign.com/price
■本ページに関するお問い合わせ先
support@kireilign.com

