「どのくらいの期間でキレイになる?」
「出っ歯も改善されますか?」
など皆様の疑問にお答えすべく、Twitterやブログ等に投稿されたキレイラインの治療経過写真をまとめました。
効果には個人差がありますが、ぜひ参考にして下さい。
許可をいただき掲載しております。
治療途中の写真もあります。
拡大床(片顎4万円、両顎8万円、各税別)、ホワイトニング・IPR等(各別料金、クリニックにより費用が異なることがございます)を併用されている場合がございます。
追加治療(拡大床・IPR・削合・ラミネートベニア・ホワイトニングなど)には別途料金がかかります。これらはキレイライン矯正による矯正歯科治療の一環ではなく、患者様のご要望や症状により医師の判断のもと行われる「クリニックの治療」に該当します。詳細は、提携クリニックに直接ご確認ください。
最新の料金はこちらをご覧ください。
【マウスピース矯正(キレイライン矯正含む)の主なリスク】
虫歯・歯肉炎・歯周病・ブラックトライアングル・歯根吸収・歯肉退縮・1日20時間以上のマウスピース装着が必須・マウスピースにより痛みを感じる可能性・治療中に一時的に噛み合わせに不具合をきたす可能性・リテーナーを最低1年間は1日20時間以上装着、その後徐々に着用時間を減らし、2年目以降は夜間のみの着用を推奨。その他注意事項や稀に起こるリスクや副作用は下記をご確認下さい。
詳しく見る
ガタつきの症例
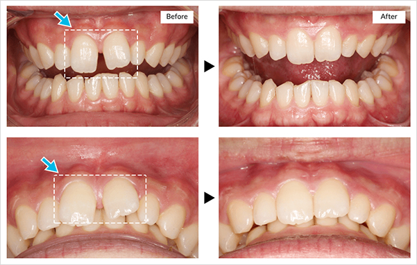
上下のガタガタがキレイに揃った歯並びに

※左右2番ラミネートベニア使用 ※効果には個人差あり
5回の治療でガタツキが改善

※効果には個人差あり
下の歯が3回でキレイに、上の歯も動いてきました

※効果には個人差あり
出っ歯の症例
出っ歯とガタツキが改善され、口元の印象もより素敵に

※効果には個人差あり
※引用元:https://twitter.com/kyoseishiteru/status/1148955450223628289
マウスピースの歯型(7回目⇔1回目):出っ歯に変化が

※効果には個人差あり
※引用元:https://twitter.com/Kireiline_Yuto/status/1198592302983217152
すきっ歯の症例
治療回数5回でこんなに動きました

※効果には個人差あり
いかがでしたでしょうか?
みなさまが安心して前向きな矯正歯科治療ができるよう、私達でお手伝いができれば大変嬉しいです。
キレイライン矯正に少しでも興味があるという方は、ぜひ下記よりご予約下さい。初回検診でお会いできることを、楽しみにしております。

