「どのくらいの期間でキレイになる?」
「出っ歯も改善されますか?」
など皆様の疑問にお答えすべく、Twitterやブログ等に投稿されたキレイラインの治療経過写真をまとめました。
効果には個人差がありますが、ぜひ参考にして下さい。
※許可をいただき掲載しております。
※治療途中の写真もあります。
※拡大床、ホワイトニング等(各別料金)を併用されている場合がございます。
※最新の料金はこちらをご覧ください。
ガタつきの症例
上下のガタガタがキレイに揃った歯並びに

※効果には個人差あり
5回の治療でガタツキが改善

※効果には個人差あり
下の歯が3回でキレイに、上の歯も動いてきました

※効果には個人差あり
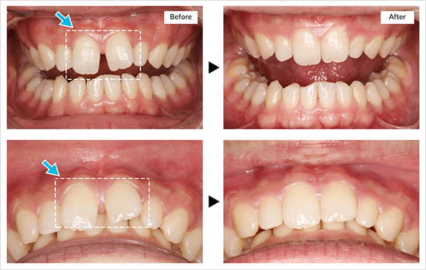
出っ歯の症例
出っ歯とガタツキが改善され、口元の印象もより素敵に

※効果には個人差あり
※引用元:https://twitter.com/kyoseishiteru/status/1148955450223628289
マウスピースの歯型(7回目⇔1回目):出っ歯に変化が

※効果には個人差あり
※引用元:https://twitter.com/Kireiline_Yuto/status/1198592302983217152
すきっ歯の症例
治療回数5回でこんなに動きました

※効果には個人差あり
いかがでしたでしょうか?
みなさまが安心して前向きな矯正歯科治療ができるよう、私達でお手伝いができれば大変嬉しいです。
初回検診でお会いできることを、楽しみにしております。
