



- ※掲載している料金はすべて税込価格です。
- ※2デンタルローンを利用して10回コース(330,000円)を120回払いで支払う場合の分割支払金額です。
- ※3 一部のクリニックはローン非対応。
- ※4 信 販会社や手数料はクリニックにより異なります。
- ※5 2024年3月時点。最新の提携院情報は予約フォームよりご確認ください。
- ※6 2021年6月実施・歯の印象に関する意識調査 ・20~40代の男女300名・直近5年以内の歯科矯正経験者が回答




※すべての方の悩みや症状に当てはまるわけではありません。




透明なのでほとんど周りに気づかれません。
接客業やモデルの方、人前で話す職業の方にも、
とても人気のある矯正法です。




かんたんに取り外すことができるので、
デートや食事の時も、普段と変わらない生活を
楽しむことができます。
※1日20時間以上の装着が必要です



従来のワイヤー矯正に比べて、
痛みを感じにくく、口内炎ができる
心配も少ないです。
今と変わらない生活を送りやすいです。
※痛みには個人差があります。


歯の矯正は2年~3年程かかると
思っていませんか?キレイライン矯正の
5回コースの治療期間は約2.5ヶ月~!
目安の治療期間は約2.5ヶ月〜1年程度です※
※治療期間には個人差があります。
※保定期間は含みません。キレイライン矯正に限らず、すべての
矯正歯科治療において、治療終了後は後戻りを防ぐため保定期間が必要です。


目立たないマウスピース矯正をしたいと思っても
「100万円払うほどではないかな...」と、
諦めてしまう方が多くいました。
そこに向き合ったのが、キレイライン。
















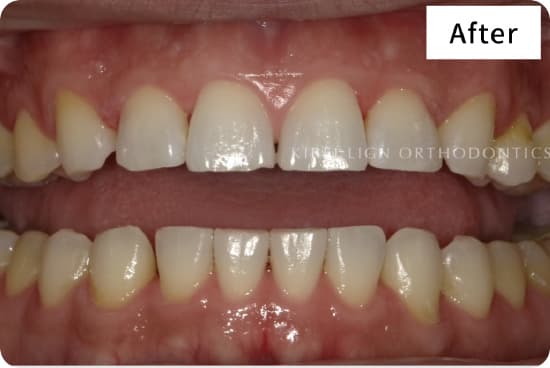
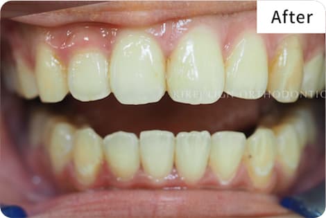
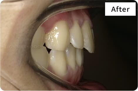
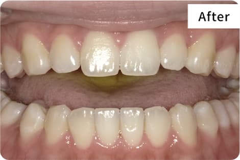
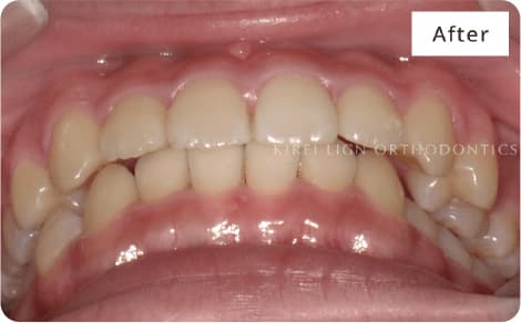
あなたの歯並びが、いくらでどのくらいキレイになるのか、ぜひイメージしながら症例をご覧ください。
掲載している症例写真は、キレイライン矯正リニューアル以前に治療完了された患者様の症例写真です。現在の治療費用・再診料・追加治療費用とは異なります。
キレイラインリニューアルについて詳しく知りたい方はこちらをご覧下さい。


-
治療期間
約4ヶ月
-
治療費用(4回実施)
16万円(税込176,000円)
-
追加治療
なし
-
再診料
4回 12,000円(税込13,200円)
※効果には個人差があります。


-
治療期間
約1年1ヶ月
-
治療費用(5回実施)
21万円(税込231,000円)
-
追加治療
拡大床(上下)8万円(税込88,000円)
-
再診料
5回 15,000円(税込16,500円)
※効果には個人差があります。
※拡大床は、キレイライン矯正による矯正歯科治療の一環ではありません。
患者様のご要望や症状により医師の判断のもと行われる「クリニックの治療」に該当しますので、詳細は提携クリニックに直接ご確認ください。


-
治療期間
約8ヶ月
-
治療費用(4回実施)
16万円(税込176,000円)
-
追加治療
拡大床(上下)8万円(税込88,000円)
-
再診料
4回 12,000円(税込13,200円)
※効果には個人差があります。
※拡大床は、キレイライン矯正による矯正歯科治療の一環ではありません。患者様のご要望や症状により医師の判断のもと行われる「クリニックの治療」に該当しますので、詳細は提携クリニックに直接ご確認ください。


-
治療期間
約1年
-
治療費用(6回実施)
26万円(税込286,000円)
-
追加治療
拡大床(上下)8万円(税込88,000円)
-
再診料
6回 18,000円(税込19,800円)
※効果には個人差があります。
※拡大床は、キレイライン矯正による矯正歯科治療の一環ではありません。患者様のご要望や症状により医師の判断のもと行われる「クリニックの治療」に該当しますので、詳細は提携クリニックに直接ご確認ください。


-
治療期間
約5ヶ月
-
治療費用(4回実施)
16万円(税込176,000円)
-
追加治療
IPR(1回)3千円(税込3,300円)※クリニックにより費用は異なります
-
再診料
4回 12,000円(税込13,200円)
※効果には個人差があります。
※IPRは、キレイライン矯正による矯正歯科治療の一環ではありません。患者様のご要望や症状により医師の判断のもと行われる「クリニックの治療」に該当しますので、詳細は提携クリニックに直接ご確認ください。

-
治療期間
約1年5ヶ月
-
治療費用(10回実施)
42万円(税込462,000円)
-
追加治療
拡大床(上下)8万円(税込88,000円)
-
IPR(4回)1万2千円(税込13,200円)※クリニックにより費用は異なります
-
前歯削合(形態修正)あり※患者様のご要望による治療です
-
左右2番ラミネートベニア使用※患者様のご要望による治療です
-
再診料
8回 24,000円(税込26,400円)
※効果には個人差があります。
※拡大床・IPR・削合・ラミネートベニアは、キレイライン矯正による矯正歯科治療の一環ではありません。患者様のご要望や症状により医師の判断のもと行われる「クリニックの治療」に該当しますので、詳細は提携クリニックに直接ご確認ください。
◆価格・期間の表記について
- 治療回数を元に最新の料金を記載、期間は実際にかかった治療期間を記載しています。
- 上記に記載している各症例の治療費用は、コースで購入した場合の費用です。1回ずつ購入したい場合は1回44,000円の費用になります。コースを組み合わせたほうが、費用が安くなります。
- 上記に記載している各症例の治療費用・追加治療費用・再診料以外に、初回検診料3,300円〜、およびリテーナー費用22,000円~66,000円(上下)が別途発生します。
- 初回検診料の金額は提携クリニックにより異なりますので、予約画面にてご確認ください。
- 再診料は、1回の来院につき3,300円で計算しています。再診料(保定期間中を含む)は提携クリニックにより異なりますので、詳細は通われるクリニックにお問い合わせください。
- 来院回数は、コース契約・追加治療なしの場合の最短の来院スケジュールで計算しています。来院回数は提携クリニックによって異なる場合があります。また歯科医師の診断により、来院回数が変更になる可能性があります。
◆追加治療について
- 追加治療(拡大床・IPR・アタッチメント・削合・ラミネートベニア・ホワイトニングなど)には別途料金がかかります。これらはキレイライン矯正による矯正歯科治療の一環ではなく、患者様のご要望や症状により医師の判断のもと行われる「クリニックの治療」に該当します。詳細は、提携クリニックに直接ご確認ください。
- 拡大床・IPR・アタッチメント以外の追加治療につきましては、対応していない提携クリニックもあります。追加治療をご希望の方は事前にクリニックへお確かめください。
◆追加治療の費用について
- 拡大床の費用は、全MENʼSキレイライン提携クリニック一律で片顎22,000円です。ただし、拡大床はMENʼSキレイライン矯正による矯正治療の一環ではなく、医師の判断のもと行われる「クリニックでの治療」に該当しますので、料金以外の詳細につきましては通われる提携クリニックへお問い合わせください。
- IPR(歯の側面を削る治療)は、1回の処置につき3,300円で計算しています。クリニックによって費用が異なりますので、詳細は通われる提携クリニックにお問い合わせください。
◆ホワイトニングについて
- 掲載している症例は、ホワイトニング併用の場合も含みます。ホワイトニングの追加費用は算出しておりませんのでご注意ください。
- キレイライン矯正をご契約いただいた場合、ホワイトニング剤最低1本が料金に含まれます。ただし、16歳未満の方へのホワイトニングは推奨しておりません。そのため、年齢によってはホワイトニング剤のお渡しを控えさせていただく可能性があります。2本目以降はクリニックによって費用が異なりますので、詳細は提携クリニックにお問い合わせください。
- ホワイトニングはアタッチメント(追加治療)との併用はできません。ホワイトニング剤の使用タイミングは歯科医師までご相談ください。
◆その他
- お写真はすべて患者様の許可を得て掲載しています。
- 掲載している症例は、治療中の方も含みます。
症例写真に関するご不明点やご質問がありましたら、下記フォームよりお問い合わせください。

*上記の歯並びであっても、キレイライン矯正が適応外となる場合もございます。
注1, 注3:症状が強い場合は適応にならない場合があります。
注2:骨格性の開咬の場合は、治療適応外となります。
注3:骨格的な問題がなくても、お口の中の状態によっては「中心のずれ」を治すことは難しい場合があります。「中心のずれ」にはさまざまな原因があり、ワイヤー矯正など他の矯正治療においても一般的にその修正は困難な場合があります。
「わたしの歯並びもキレイになる?」と
不安に思うかもしれません。
キレイライン矯正は、
多数の症例実績があるため
出っ歯・すきっ歯・八重歯・
ガタガタな歯など
様々な歯並びに対応できます。
キレイライン矯正は、多数の症例実績があるため、
出っ歯・すきっ歯・八重歯・ガタガタな歯など、
様々な歯並びに対応できます。


上記以外でお悩みの場合も、状態により
キレイライン矯正で治療可能な場合はもちろんございます。









※キレイライン矯正の対象年齢は「前歯の歯根完成時期」の目安である、男性16歳以上・女性14歳以上です。

途中で転院もできますので*、まずはお近くのクリニックで 軽い気持ちでお話を聞いてみましょう!*同一法人の場合




キレイラインの提携クリニックは
駅チカが多く、
平日でも19時〜20時まで診察している
クリニックも多数あります。
お休みの日の買い物の合間や、平日の仕事帰りに、
美容院に行くようなお気軽な気持ちで
ぜひ立ち寄ってみてください。


- いくらでどのくらいキレイになるかすぐわかる!
- 歯並びに関する悩みや不安を気軽に相談できる!
- 自分の今の歯の状態を正しく知ることができる!





少しでも「歯並びをキレイにしたい」と思いましたら、ぜひ初回検診でお気軽にご相談ください。キレイラインで初回検診を予約すれば、詳しい診察とカウンセリングが受けられます。
お詫び
人気のクリニックは良い時間枠が早く埋まります。 恐れ入りますが、予約枠はこのページ内で確保いただけますようお願いたします。

- 本人確認のため保険証をご持参ください。
-
診察の結果、キレイライン矯正が適応できず治療ができない場合もございます。
その場合も、初回検診料(3,300円)は発生します。
金額はクリニックによって異なりますので、予約画面にてご確認ください。 - 対象年齢は、男性は16歳以上・女性は14歳以上です。それ未満の患者様におかれましては適応外になる可能性がございます。初診時は予約フォームの備考欄に年齢を記載のうえ、ご相談いただければと思います。
- 未成年者の場合、親権者から下記の同意書にサインをいただき印刷したものをご持参下さい。同意書がない場合は初回検診を受けることができませんので、ご注意ください。
→同意書はこちら




※こちらはイメージ画像であり、レントゲンの画像とは異なります。
まずはレントゲンなどを撮影し、歯と顎の状態を診査・診断。「これまで気づかなかったけど、思っていたより歯並びが悪い」など、自分の歯の状態を正しく知ることのできるチャンスです。




診査結果をもとに、歯科医師が何回の治療で、どの程度の歯並びになる見込みかなど、治療プランを丁寧に説明します。クリニックによっては歯並びの変化のシミュレーションもできます。
※シミュレーションはキレイライン矯正による提供ではなく、提携クリニックによるサービスです。
※必ずしもシミュレーションどおりになるとは限りません。




ぜひあなたのお悩みを気軽に相談しましょう。疑問やご希望などをお伺いしながら、あなたに適したプランをご提案します。どんな些細なことでも納得いくまでご相談ください。




すべての不安が解消されましたら、キレイラインを始めるか判断しましょう。もちろん相談だけの方も大歓迎です。まずは1回44,000円から始めることもできますので、ぜひお気軽にご相談ください。

- シリコン素材で
持ち運びラクラク - 矯正してると
わからない、バレない


旅行、脱毛、ジムなど色々したくて
つい後回しにしがちな歯科矯正…





「芸能人は歯が命」と言われるほど、歯のケアはとても大切。
歯並びが美しく整うことで、清潔感がアップしたり、結果的に顔の形や見た目の印象に良い効果を得ることが期待できます。※効果には個人差があります


-
・食べカスが詰まりにくい&歯磨きがしやすくなり、虫歯や歯周病のリスクが減る
-
・口呼吸が減り、乾燥による口臭トラブルが軽減される
-
・滑舌の改善が期待できる
※効果には個人差があります。
※すべての方の悩みや症状に当てはまるわけではありません。




「マスクなしになって、歯並びが気になり始めた」
「リモートワークが増えて、人に会う機会が減った今のうちに矯正しようかな」
そういった方が今増えています。
いつか矯正したいと思っている
なら、「したい!」と思った
今こそ始めよう!


半年後、あなたの歯がキレイになって、
写真を撮る時も、好きな人の前でも、
思いっきり笑うことができたら、嬉しいと思いませんか?
今年こそ「歯並びキレイになった!矯正してよかった!」
そんな素敵な日を、キレイラインと迎えませんか?




マウスピースは本当に目立ちませんか?
キレイライン矯正のマウスピースは、透明度の高い素材を使用しているため、装着していても目立ちにくいです。
患者様からは、
「近くでじっくり見ても、着けていると分からない」
「教えられるまで気づかなかった!」
と周囲の方から言われました、とのお声を多数いただきます。
マウスピースは1日にどのくらい(何時間)装着すればよいですか?
キレイライン矯正では、1日20時間以上のマウスピース装着が必要です。
※お食事・間食の際は、マウスピースの破損や汚れを避けるため必ず取り外してください。
※1日4時間以内ならばマウスピースを外すことができますが、より矯正効果を実感するためには、1回あたりの外す時間をなるべく1時間以内に収めることがベストです。
なぜこの価格で治療できるのですか?ワイヤー矯正に比べて効果はないのでしょうか?
キレイライン矯正では「価格を理由に歯科矯正を諦めてほしくない」という我々の想いに共感くださる提携クリニックとともに、良心的で適正な価格と、高品質な治療を目指し企業努力を重ねています。
奥歯を含めた歯列全体ではなく、目立ちやすい前歯部分だけを治療対象としていることも、現在の価格を実現できた理由のひとつです。
また、キレイライン矯正で使用しているマウスピースは、高精度なデジタル技術を活用してデザイン・製造しています。
そのためキレイライン矯正が対応できる軽〜中度の歯列の歪みであれば、手作業で装置の調整を行うワイヤー矯正に劣らない効果が期待できます。
かなりガタガタの歯並びですが、キレイライン矯正での治療はできますか?
ガタガタした歯並び(叢生)はキレイライン矯正の治療対象ではありますが、キレイライン矯正で治療ができるかどうかは、症状の程度や歯根の状態によって異なります。
実際に口腔内の状態を確認しなければ正しい診断ができませんので、まずはお気軽に初回検診にお越しいただき、歯科医師による見解をお聞きください。
過去に矯正経験がある場合(後戻り・再矯正)でもできますか?
もちろん過去に矯正経験がある方もキレイライン矯正を受けていただけます。
矯正終了後の後戻りは、初めての矯正歯科治療に比べて治療しやすい傾向にあります。
ただし、症状によってはキレイライン矯正が適応外となる場合もあるため、まずは初回検診にお越しいただき、歯科医師までご相談ください。
滑舌に影響はありますか?
マウスピースを装着した初めの数日間は、発音がはっきりしなくなることもありますが、数週間で通常通りに会話できるようになる方が多いです。
もちろん個人差はありますが、キレイライン矯正は
「営業職で人と会話することが多いから、滑舌への影響が気になる」
「就職活動・転職活動の面接を控えているから、喋りにくくなったら嫌だな」
などとご不安をお持ちの方も、挑戦しやすい矯正歯科治療です。
インプラントがあっても矯正できますか?
キレイライン矯正は、上下の前歯12本を整えることを目的とした部分矯正のため、奥歯にインプラントがある場合は治療が可能です。
ただし、インプラントに配慮した歯の移動をおこなうことになるため、基本的に側方拡大(歯列を頬側に移動させてスペースを作ること)をしなくても良い範囲での治療となります。
【上下の前歯各6本(計12本)にインプラントがある場合】
インプラント以外の歯の移動であれば対応可能です。
インプラント部位の移動はできませんが、キレイライン矯正後に周囲の歯並びと調和するようクラウン(インプラントの歯)の再製作を行えば、バランス良く整えることができます。
※クラウン(インプラントの歯)の再製作はキレイライン矯正の治療の一環には含まれません。詳細は提携クリニックにお問い合わせ頂けますと幸いです。
留学(引っ越し)をする予定です。戻ってくるのが先のため、頻繁に通うことができませんが治療はできますか?
キレイライン矯正では、最短で3週間〜2ヶ月に1回程度通院していただいておりますが、それ以上間隔をあけることも可能です。
通院の間隔が空くと、その分矯正期間も延びます。何卒ご了承ください。
次回来院までは、歯の後戻りを防ぐために必ずお使いのハードのマウスピースを1日20時間以上装着してください。
※1つのマウスピースを長期間使用する場合は、定期的な洗浄をお願いいたします。 ※緊急時の対応等を考慮してご検討ください。
まずは初回検診にお越しいただき、提携クリニックへご相談されることをお勧めいたします。
初回検診はいくらかかりますか?
初回検診には3,300円~の検診費用がかかります。
各提携クリニックによって金額は異なりますので、予約画面にてご確認ください。
【内訳】
・診察料(診察、カウンセリング)
・検査料(レントゲン撮影、歯並びやお顔の写真撮影)
・診断料(キレイライン適応可否の診断)
支払い方法について教えてください。
キレイライン矯正のお支払い方法は、
・現金(都度またはコース一括払い)
・クレジットカード
・デンタルローン
からお選び頂けます。
※クレジットカード払い・デンタルローンは18歳以上(高校生を除く)が対象となります。
※クレジットカード払い・デンタルローンに対応していない提携クリニックもございます。
※初回検診以降は再診料として、1回の来院につき3,300円程度がかかります。契約方法・お支払い方法に関わらず、再診料はご来院ごとに提携クリニック受付にて現金もしくはクレジットカードでお支払いいただきます。
※保定期間中の再診料は提携クリニックによって異なりますので、詳細は通われる提携クリニックへお問い合わせください。
ただし、詳しい支払い方法につきましては各提携クリニックによって異なりますので、初回検診専用予約フォームの備考欄もしくは、初回検診にお越しの際にご相談ください。


歯科矯正は通常、クリニックにより料金が大きく異なるのが特徴。
しかしキレイライン矯正は、全国どの提携クリニックでも一律同じ料金。はじめての方でもわかりやすい料金設定にしました。
全国の皆様に同品質の治療を受けていただけるよう努めています。
※3,300円~の初回検診料および来院1回につき3,300円程度の再診料の金額は提携クリニックにより異なりますので、予約画面または通われるクリニックにご確認ください。
※IPR、アタッチメントなど提携クリニックによる治療費用は各提携クリニックにより異なります。


ここまでページをご覧いただきありがとうございます。
ここまでご覧頂いた方は、きっと歯の矯正に興味を持っていただいている方だと思います。
歯の矯正はハードルが高く感じられて、一歩がなかなか踏み出しにくいですよね。
その気持ちはとてもよくわかります。
しかし、今、歯の矯正に興味を持っているのであれば、
その一歩を踏み出して頂きたいです。
歯並びがキレイになることで、
「よく笑うようになって可愛くなったねと言われるようになった!」
「写真で歯を見せて笑えるようになって嬉しい!」
「歯に食べ物が詰まることがなくなった!」
といった喜びの声をたくさん頂きます。

歯並びが良くなった後の未来は、歯の矯正をした人にしか見ることはできません。
自分の歯とは一生付き合っていくことになります。
ぜひ、歯の矯正をして整った美しい歯を手に入れてください。
将来、あなたが歯の矯正を終えた時に、
「あの時に行動して本当に良かった!」
そう思える日が来ることを願っています。
まずは、気軽に初回検診にお越しください。
あなたの来院をお待ちしております。
お詫び
人気のクリニックは良い時間枠が早く埋まります。 恐れ入りますが、予約枠はこのページ内で確保いただけますようお願いたします。




























