• ※保険適用外の自由診療となります。
  1. ※1:2017年4月~2022年3月の契約者様の合計数
  2. ※2:デンタルローンを利用して7回コース(税込319,000円)を頭金なし・96回払いで支払う場合の手数料抜き・税別の分割支払金額です。一部クリニックはローン非対応。信販会社や手数料はクリニックにより異なります。
  1. ※1:治療期間には個人差があります。
  2. ※1:保定期間は含みません。キレイライン矯正に限らず、すべての矯正歯科治療において、治療終了後は後戻りを防ぐため保定期間が必要です。
  3. ※2:痛みの感じ方には個人差があります。

マウスピースを交換しながら、
少しずつ歯を動かしていく矯正法です。

実は今、20~30代女性のうち
すでに80%以上がマウスピース矯正の
ことを知っており、とても注目度が
上がっている矯正法なんです!

  • ※自社調べ
    調査対象:20〜30代女性(n=200)地域:全国 調査時期:2022年6月 調査手法:インターネット調査

私たちは、サービス開始以来
「歯科矯正を当たり前なものにしたい」
という想いのもと、
努力を続けてまいりました。

これからもたくさんの方に
選んでいただけるよう
多数の実績に基づき、
品質の高い治療を提供し続けます。

最短5ヶ月終了

短時間で矯正できます

矯正は2~3年かかると思っていませんか?
キレイライン矯正なら、最短5ヶ月という短期間でキレイな歯並びを目指せます!
マウスピース矯正は目立ちにくいとはいえ、どうせなら早く終わった方が嬉しいですよね♪

  • ※治療期間には個人差があります。
  • ※保定期間は含みません。キレイライン矯正に限らず、全ての矯正歯科治療において、治療終了後は後戻りを防ぐために保定期間が必要です。

痛み感じにくい

マウスピースを使用

マウスピース矯正はもともとワイヤー矯正より痛みを感じにくいと言われています。
さらにキレイライン矯正では、痛みを少しでも和らげるために2種類の硬さ(ソフト・ハード)のマウスピースを順番に使用します。
その結果、より痛みを感じにくいマウスピース矯正となっているのです。

  • ※痛みの感じ方には個人差があります。

マウスピースを使って

ホワイトニングもできる

マウスピースにホワイトニング剤を注入しておくだけで、カンタンにホワイトニングができるのもポイント。
キレイライン矯正では、ホワイトニング剤が最低1本、契約内容に応じて最大4本が料金に含まれています! 歯並びを治しながら、同時に白い歯も目指せるなんて、一石二鳥だと思いませんか?

  • ※効果には個人差があります。
  • ※ホワイトニングはキレイライン矯正による矯正歯科治療の一環ではなく、患者様のご要望や症状により歯科医師の判断のもと行われるクリニックによる追加治療です。詳細は提携クリニックに直接ご確認ください。
  • ※16歳未満の方へのホワイトニングは推奨しておりません。そのため、年齢によってはホワイトニング剤のお渡しを控えさせていただく可能性があります。

歯並びをキレイにするなら、
同時にホワイトニングもできた方が
嬉しくないですか?

※ワイヤー表側矯正では、
矯正しながらホワイトニングをするのは
難しい場合が多いです。

無理に貯金や節約をしなくても、
少ない負担で矯正を始めることができます!

  • ※上記に記載している費用以外に、初回検診料3,300円(税込)〜、および来院1回につき3,300円程度(税込)の再診料が別途発生します。 初回検診料・再診料は提携クリニックによって異なります。初回検診料の詳細は予約画面にてご確認ください。再診料の詳細は通われる提携クリニックにお問い合わせください。
  • ※患者様の症状により、キレイライン以外の追加治療として片顎4万円(税込44,000円)の拡大床の併用やIPRを歯科医師から推奨される場合があります。
  • ※追加治療(拡大床、IPRなど)には別途料金がかかります。これらはキレイライン矯正の一環ではなく、患者様のご要望や症状により歯科医師の判断のもと行われる「クリニックによる追加治療」です。詳細は、提携クリニックに直接ご確認ください。
  • ※リテーナーは症状等により税込22,000~66,000円の別途費用、6回以上のコースの場合は、マウスピース型リテーナーが無料になります。詳しくは提携クリニックにお問い合わせください。

キレイライン矯正では、1回につき
ソフト・ハードのマウスピース2種類を使って
治療を行い、何回か繰り返すことで
キレイな歯並びを目指します。

初回2万円(税込22,000円)
2回目以降5万円(税込55,000円)

というのは、その"交換費用"です。

  • ※治療回数、費用には個人差があります。

キレイライン矯正では、
最初に治療費用をまとめて支払うのではなく、
マウスピースを交換するごとに
分けて支払うことが可能。

まず2万円(税込22,000円)で
キレイライン矯正を始めたら、
次にマウスピースを交換する(=お金を払う)のは、
"お金が貯まった半年後"というのもOKです!

だから、
もし今お金に余裕がなくても、
気軽な気持ちで始めることができ、
その後もあなたのペースで
治療を進めることができるんです!

もしかすると、治療の途中でも
「もう歯並び気にならなくなった!」
と満足する方もいるかもしれません。

その場合、歯科医師との相談のもと
歯の健康に支障がないと診断されれば、
途中で終了することが可能。

自分が納得する歯並びになったタイミングで
終了することができるので、
お財布の負担を最小限に抑えることができます!

そんなあなたのために!

実際にキレイライン矯正をした方の

かかった費用 ビフォーアフター写真

をご紹介!

【治療費用:○○円】

自分に似た歯並びを探して
参考にしてみてください

2万円だけのお試しも可能(税込22,000円)

キレイライン矯正では、
まず初回だけ試してみて、
そのあと続けるかどうか決めるというのもOK

矯正に必要なグッズすべて合わせて

約1ヶ月半、マウスピースを試してみて
その後続けるかどうかは自由に決められます!

少しでも気になっていたら、
まずはお気軽に試してみてください!

  • ※上記の料金の他に、初回検診料として別途3,500円程度(税別)の費用がかかります。
  • ※16歳未満の方へのホワイトニングは推奨しておりません。そのため、年齢によってはホワイトニング剤のお渡しを控えさせていただく可能性があります。

まとめて支払うことで
お得なコース料金

初回契約時に、複数回分をまとめて支払うことができます。
通常よりお得になるため、費用を安く抑えたいという方にはオススメです!

  • ※上記に記載している費用以外に、初回検診料3,300円(税込)〜、および来院1回につき3,300円程度(税込)の再診料が別途発生します。 初回検診料・再診料は提携クリニックによって異なります。初回検診料の詳細は予約画面にてご確認ください。再診料の詳細は通われる提携クリニックにお問い合わせください。
  • ※患者様の症状により、キレイライン以外の追加治療として片顎4万円(税込44,000円)の拡大床の併用やIPRを歯科医師から推奨される場合があります。
  • ※追加治療(拡大床、IPRなど)には別途料金がかかります。これらはキレイライン矯正の一環ではなく、患者様のご要望や症状により歯科医師の判断のもと行われる「クリニックによる追加治療」です。詳細は、提携クリニックに直接ご確認ください。
  • ※リテーナーは症状等により税込22,000~66,000円の別途費用、6回以上のコースの場合は、マウスピース型リテーナーが無料になります。詳しくは提携クリニックにお問い合わせください。

月々約3,000円~
の分割払いも可能

デンタルローンを利用して月々の分割払いにすることも可能です。
分割することで支払期間は長くなってしまいますが、1回の支払いの負担を抑えたいという方にはオススメです!

  • ※デンタルローンを利用して7回コース(税込319,000円)を頭金なし・96回払いで支払う場合の手数料抜き・税別の分割支払金額です。
  • ※一部クリニックはローン非対応。
  • ※信販会社や手数料はクリニックにより異なります。
  • ※デンタルローンは18歳以上(高校生を除く)が対象となり、詳しい支払い方法や規約は各提携クリニックにより異なります。予約フォームの備考欄にご記載いただくか、初回検診にお越しの際にクリニックへご相談ください。

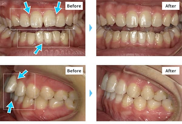
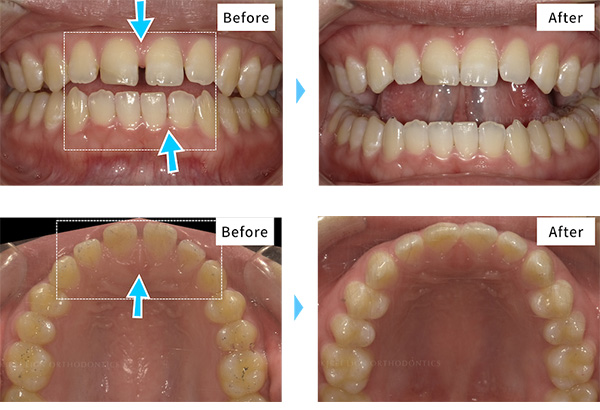
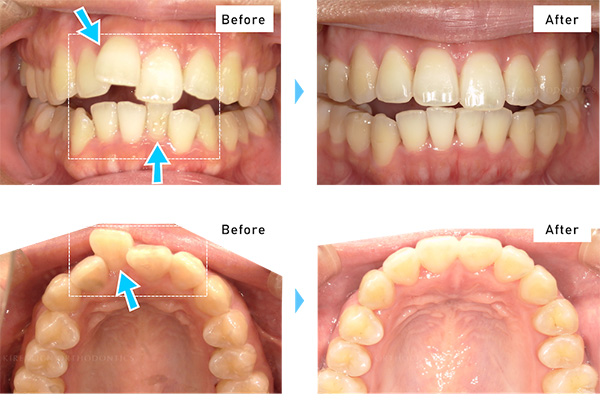
キレイライン矯正で実際に治療した方のビフォーアフター写真・治療費用を紹介します。

自分に近い歯並びを探して、どれくらいの費用で治療できるのか、参考にしてみてください!

【3~4回の症例】

比較的少ない回数で終了した症例です。ご覧のとおり、治療費用を抑えることができています。

  • 治療期間
    6ヶ月(キレイラインを4回実施)
    治療費用
    160,000(税込176,000円)
    • No

      47108131

    • 症状

      出っ歯,ガタガタな歯

    • 再診料

      (4回) 12,000円 (税込13,200円)

    • 追加治療

      拡大床(上下)80,000円 (税込88,000円)

    • ※効果には個人差があります。※拡大床は、キレイライン矯正による矯正歯科治療の一環ではありません。患者様のご要望や症状により医師の判断のもと行われる「クリニックの治療」に該当しますので、詳細は提携クリニックに直接ご確認ください。
  • 治療期間
    4ヶ月半(キレイラインを4回実施)
    治療費用
    160,000(税込176,000円)
    • No

      36130814

    • 症状

      すきっ歯,ガタガタな歯

    • 再診料

      (4回) 12,000円 (税込13,200円)

    • 追加治療

      なし

    • ※効果には個人差があります。
    • ※上顎左右2番矮小歯のため補綴予定です。費用は各提携クリニックによって異なります。
    • ※補綴治療は、キレイライン矯正による矯正歯科治療の一環ではありません。患者様のご要望や症状により医師の判断のもと行われる「クリニックの治療」に該当しますので、詳細は提携クリニックに直接ご確認ください。
  • 治療期間
    6ヶ月(キレイラインを4回実施)
    治療費用
    160,000(税込176,000円)
    • No

      5310308

    • 症状

      ガタガタな歯

    • 再診料

      (4回) 12,000円 (税込13,200円)

    • 追加治療

      拡大床(上下)80,000円 (税込88,000円)

    • ※効果には個人差があります。※拡大床は、キレイライン矯正による矯正歯科治療の一環ではありません。患者様のご要望や症状により医師の判断のもと行われる「クリニックの治療」に該当しますので、詳細は提携クリニックに直接ご確認ください。
  • 治療期間
    5ヶ月半(キレイラインを3回実施)
    治療費用
    120,000(税込132,000円)
    • No

      36101618

    • 症状

      すきっ歯

    • 再診料

      (7回) 21,000円 (税込23,100円)

    • 追加治療

      なし

    • ※効果には個人差があります。
  • 治療期間
    6ヶ月(キレイラインを3回実施)
    治療費用
    120,000(税込132,000円)
    • No

      23104218

    • 症状

      ガタガタな歯

    • 再診料

      (7回) 21,000円 (税込23,100円)

    • 追加治療

      拡大床(上のみ)40,000円 (税込44,000円)

    • ※効果には個人差があります。※拡大床は、キレイライン矯正による矯正歯科治療の一環ではありません。患者様のご要望や症状により医師の判断のもと行われる「クリニックの治療」に該当しますので、詳細は提携クリニックに直接ご確認ください。

【5~7回の症例】

標準的な回数で治療が終了した症例です

  • 治療期間
    8ヶ月(キレイラインを7回実施)
    治療費用
    290,000(税込319,000円)
    • No

      40028084

    • 症状

      ガタガタな歯

    • 再診料

      (6回) 18,000円 (税込19,800円)

    • 追加治療

      なし

    • ※効果には個人差があります。
  • 治療期間
    11ヶ月(キレイラインを5回実施)
    治療費用
    210,000(税込231,000円)
    • No

      23009577

    • 症状

      出っ歯,ガタガタな歯

    • 再診料

      (6回) 18,000円 (税込19,800円)

    • 追加治療

      拡大床(上下)80,000円 (税込88,000円)

    • ※効果には個人差があります。※拡大床は、キレイライン矯正による矯正歯科治療の一環ではありません。患者様のご要望や症状により医師の判断のもと行われる「クリニックの治療」に該当しますので、詳細は提携クリニックに直接ご確認ください。
  • 治療期間
    12ヶ月(キレイラインを7回実施)
    治療費用
    290,000(税込319,000円)
    • No

      44143755

    • 症状

      出っ歯,ガタガタな歯

    • 再診料

      (6回) 18,000円 (税込19,800円)

    • 追加治療

      IPR(2回) 6,000円 (税込6,600円)

    • ※効果には個人差があります。
    • ※IPRは、キレイライン矯正による矯正歯科治療の一環ではありません。患者様のご要望や症状により医師の判断のもと行われる「クリニックの治療」に該当しますので、詳細は提携クリニックに直接ご確認ください。
  • 治療期間
    10ヶ月(キレイラインを6回実施)
    治療費用
    260,000(税込286,000円)
    • No

      36051864

    • 症状

      出っ歯

    • 再診料

      (8回) 24,000円 (税込26,400円)

    • 追加治療

      拡大床(上下)80,000円 (税込88,000円)

    • ※効果には個人差があります。
    • ※拡大床は、キレイライン矯正による矯正歯科治療の一環ではありません。患者様のご要望や症状により医師の判断のもと行われる「クリニックの治療」に該当しますので、詳細は提携クリニックに直接ご確認ください。
  • 治療期間
    7ヶ月(キレイラインを7回実施)
    治療費用
    290,000(税込319,000円)
    • No

      19138269

    • 症状

      すきっ歯,ガタガタな歯

    • 再診料

      (6回) 18,000円 (税込19,800円)

    • 追加治療

      なし

    • ※効果には個人差があります。

【8~9回の症例】

回数が多めの症例です。比較的費用は高くなってしまいますが、様々な歯並びに対応することができます。

  • 治療期間
    11ヶ月(キレイラインを8回実施)
    治療費用
    340,000(税込374,000円)
    • No

      7109608

    • 症状

      出っ歯,ガタガタな歯

    • 再診料

      (8回) 24,000円 (税込26,400円)

    • 追加治療

      拡大床(上下)80,000円 (税込88,000円)
      IPR(1回) 3,000円 (税込3,300円)

    • ※効果には個人差があります。※拡大床・IPRは、キレイライン矯正による矯正歯科治療の一環ではありません。患者様のご要望や症状により医師の判断のもと行われる「クリニックの治療」に該当しますので、詳細は提携クリニックに直接ご確認ください。
  • 治療期間
    1(キレイラインを8回実施)
    治療費用
    340,000(税込374,000円)
    • No

      49126848

    • 症状

      出っ歯,ガタガタな歯

    • 再診料

      (8回) 24,000円 (税込26,400円)

    • 追加治療

      拡大床(上下)80,000円 (税込88,000円)

    • ※効果には個人差があります。※拡大床は、キレイライン矯正による矯正歯科治療の一環ではありません。患者様のご要望や症状により医師の判断のもと行われる「クリニックの治療」に該当しますので、詳細は提携クリニックに直接ご確認ください。
  • 治療期間
    9ヶ月(キレイラインを8回実施)
    治療費用
    340,000(税込374,000円)
    • No

      47048202

    • 症状

      すきっ歯

    • 再診料

      (8回) 24,000円 (税込26,400円)

    • 追加治療

      なし

    • ※効果には個人差があります。
  • 治療期間
    11ヶ月半(キレイラインを8回実施)
    治療費用
    340,000(税込374,000円)
    • No

      5046323

    • 症状

      ガタガタな歯

    • 再診料

      (8回) 24,000円 (税込26,400円)

    • 追加治療

      拡大床(上下)80,000円 (税込88,000円)

    • ※効果には個人差があります。※拡大床は、キレイライン矯正による矯正歯科治療の一環ではありません。患者様のご要望や症状により医師の判断のもと行われる「クリニックの治療」に該当しますので、詳細は提携クリニックに直接ご確認ください。
  • 治療期間
    11ヶ月(キレイラインを9回実施)
    治療費用
    390,000(税込429,000円)
    • No

      36016308

    • 症状

      すきっ歯

    • 再診料

      (10回) 30,000円 (税込33,000円)

    • 追加治療

      なし

    • ※効果には個人差があります。

※症例全体にかかる注記・マウスピース矯正(キレイラインを含む)の主なリスク・症例にカ関するお問い合わせはこちらをご確認ください。

私たちにお任せください !

初回検診では、歯科医師が診察を行い

  • あなたがいくらで矯正できるか
  • どのくらいの期間がかかるか

が分かります!

提携クリニックは全国60ヶ所以上

ボタンを押すと提携クリニックと日時を選べる
予約フォームに進みます(当日予約可能)

  • ※本人確認のため保険証をご持参ください。
  • ※初回検診には3,500円程度(税別)の検診費用がかかります。
  • ※診察の結果、キレイライン矯正が適応できず治療ができない場合もございます。その場合も、初回検診料(3,500円程度)は発生します。
  • ※推奨年齢は、男性は16歳以上・女性は14歳以上です。それ未満の患者様におかれましては適応外になる可能性がございます。初診時は予約フォームの備考欄に年齢を記載のうえ、ご相談いただければと思います。
  • ※未成年の方は保護者の同意書が必要となります。(一部提携クリニックでは、18歳以上でも同意書を求める場合があります。)同意書はこちら​からダウンロードできます。印刷してご記入のうえお持ちください。未成年の方で同意書がない場合は初回検診を受けることができませんので、ご注意ください。

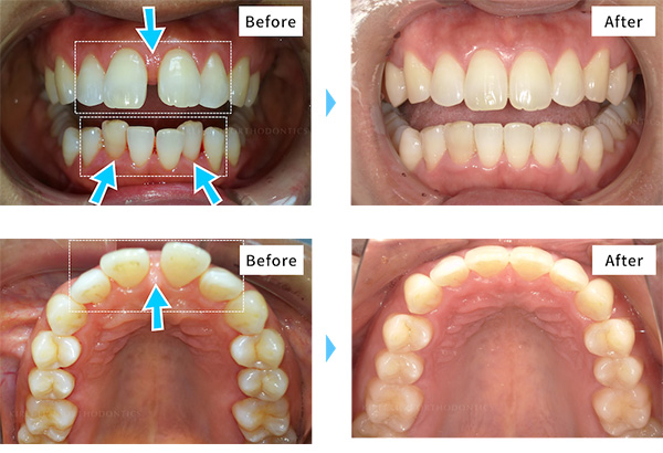
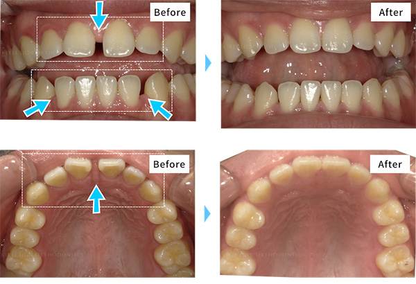
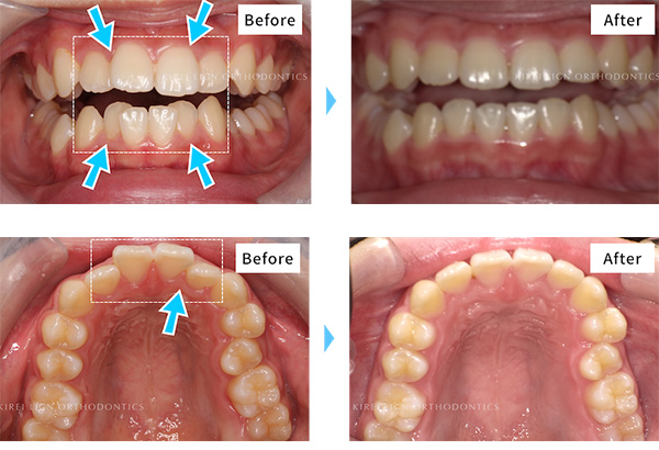
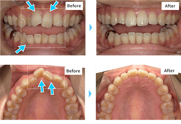
キレイライン矯正で対応可能歯並び

キレイライン矯正は多数の症例実績があり、

  • 八重歯
  • ガタガタな歯
  • すきっ歯
  • 出っ歯

など様々な歯並びに対応しています!

  • ※上記の歯並びであっても、キレイライン矯正が適応外となる場合もございます。
  • 注1,注3:症状が強い場合は適応にならない場合があります。
  • 注2:骨格性の開咬の場合は、治療適応外となります。
  • 注3:骨格的な問題がなくても、お口の中の状態によっては「中心のずれ」を治すことは難しい場合があります。「中心のずれ」にはさまざまな原因があり、ワイヤー矯正など他の矯正治療においても一般的にその修正は困難な場合があります。

こんな方でも対応可能

  • ・過去に矯正をして後戻りしてきた方
  • ・過去にワイヤー矯正をしていたが痛くて諦めてしまった方
  • ・歯ぎしりをする方

マウスピースがナイトガードのように作用するので、歯を守るためにも有効です。

  • ※歯ぎしりの症状が強いとマウスピースが破損する恐れがあるため、別途歯ぎしり用マウスピースの併用をお勧めする場合もあります。

「私の歯並びはキレイライン矯正じゃ治せないのでは?」
と決めつける前に、
まずは初回検診にお越しいただき、
歯科医師にぜひご相談ください!

初回検診では、歯科医師が診察を行い
・あなたがいくらで矯正できるか
・どのくらいの期間がかかるか
が分かります!

提携クリニックは全国60ヶ所以上

ボタンを押すと提携クリニックと日時を選べる
予約フォームに進みます(当日予約可能)

  • ※本人確認のため保険証をご持参ください。
  • ※初回検診には3,500円程度(税別)の検診費用がかかります。
  • ※診察の結果、キレイライン矯正が適応できず治療ができない場合もございます。その場合も、初回検診料(3,500円程度)は発生します。
  • ※推奨年齢は、男性は16歳以上・女性は14歳以上です。それ未満の患者様におかれましては適応外になる可能性がございます。初診時は予約フォームの備考欄に年齢を記載のうえ、ご相談いただければと思います。
  • ※未成年の方は保護者の同意書が必要となります。(一部提携クリニックでは、18歳以上でも同意書を求める場合があります。)同意書はこちら​からダウンロードできます。印刷してご記入のうえお持ちください。未成年の方で同意書がない場合は初回検診を受けることができませんので、ご注意ください。
1,

経験豊富なドクター
多数在籍

多数の症例実績で、高品質な治療に。

キレイライン矯正は、マウスピース矯正の経験が豊富な歯科医師がたくさん在籍しています。

高橋 秀平先生

東京プラス齒科 矯正歯科
ちがさき院
岩手医科大学う蝕治療学分野
常任研究員

土黒 さくら先生

赤坂さくら歯科クリニック 院長
日本口腔インプラント学会所属
日本歯周病学会所属東京SJCD歯科スタディーグループ所属
日本顕微鏡歯科学会所属

村尾 一誠先生

東京プラス歯科 矯正歯科
蒲田 院長
鶴見大学歯学部歯学科卒業
医療法人社団友伸會
日本障害者歯科学会所属

※ 2017年4月~2022年3月の契約者様の合計数

豊富な経験をもとに、あなたのお悩み・ご要望に沿った高品質な治療を提供いたします。

2,

日本の国家資格を持つ
歯科技工士が

マウスピースをデザイン

マウスピース矯正ブランドによっては、
効率を重視し、海外の工場で大量生産を
行っている場合もあります。

しかしキレイライン矯正では、
日本の国家資格を持つ歯科技工士100名以上が、
歯科医師の指示のもと国内でマウスピースを
製造しています。

また、膨大な歯列データとデジタル技術を導入し、
距離0.05mm・角度0.5度単位での
治療計画を立てることができ、患者様1人1人の
歯並びにあった高品質な治療を提供可能です。

3,

治療体験向上のための
取り組み

2022年スタート

全患者様へアンケートを行い、
その結果を元に提携クリニックへの
指導・改善施策を実施。
キレイライン矯正の治療体験を改善しています。

さらに、提携クリニック・提携技工所・各大学の
研究機関との連携を強化。
キレイライン矯正の治療品質を改善しています。

歯の矯正をもっと手軽に、すべての人へ

高額なイメージがあり、
諦めてしまう人がいる。

こんな問題を解決するために、
キレイライン矯正は誕生しました。

キレイな歯並びは、
見た目の美しさだけでなく
心に自信を与えてくれます。

だからこそ、歯科矯正を
もっと手軽で当たり前のものにしたい。

そんな想いを持って
私たちはこれからも努力を続けてまいります。

「キレイライン矯正を始めてみたい」
という方は

途中で転院することも可能なので、まずはお近くのクリニックで初回検診を受けてみましょう!

  • ※ 同一法人の場合
※ 2022年6月時点

東京や大阪のアクセス良好な駅近くにも展開中

東京

渋谷、銀座、新宿、原宿、高田馬場、池袋、六本木、自由が丘、赤羽、八王子、蒲田、仙川、西糀谷、調布、竹ノ塚、横浜、氷川台、船橋

大阪

大阪、心斎橋、なんば、西梅田、桃谷、河内松原

具体的なクリニック情報や空き枠は
予約フォームから確認できます!

ボタンを押すと提携クリニックと日時を選べる
予約フォームに進みます(当日予約可能)

初回健診の流れ

キレイライン矯正を始めたい方は
まずは初回検診を受けましょう!

1.予約する

少しでもキレイライン矯正が気になったら、まずは初回検診で気軽に相談してみましょう。
予約したい方は、まず予約フォームから近くのクリニックの空き状況をご確認ください。

2.診察を受ける

初回検診では、歯型スキャンやレントゲン撮影をしてあなたの歯と顎の状態をチェックします。
いくらで、どのくらいキレイになるかシミュレーションを見ることもできます。

  • ※提携クリニックにより設備が異なります。また、適応と判断された患者様にのみレントゲン撮影を行うクリニックもあります。
  • ※シミュレーションはキレイライン矯正による提供ではなく、提携クリニックによるサービスです。実施するかどうかは提携クリニックの判断によります。また、必ずシミュレーション通りになるとは限りませんので、あくまで「ご参考の範囲」にとどめていただきますようお願いいたします。

3.相談する

キレイライン矯正を始める上での不安や悩みを相談できます。
あなたに合った治療の進め方を提案するので、どんな些細なことでもお気軽にご相談ください。

4.治療を始めるか決める

相談が終わったら、キレイライン矯正を始めるかを決めます。
もちろんその場では決断せず、持ち帰って考えるのもOKです。
2万円(税込22,000円)のお試しだけでも大歓迎ですので、まずはお気軽にお越しください。

  • ※初回検診の結果、キレイラインが適応とならない場合があります。

提携クリニックは全国60ヶ所以上

ボタンを押すと提携クリニックと日時を選べる
予約フォームに進みます(当日予約可能)

  • ※初回健診の流れは各提供クリニックによって異なる場合があります。
  • ※本人確認のため保険証をご持参ください。
  • ※初回検診には3,500円程度(税別)の検診費用がかかります。
  • ※診察の結果、キレイライン矯正が適応できず治療ができない場合もございます。その場合も、初回検診料(3,500円程度)は発生します。
  • ※推奨年齢は、男性は16歳以上・女性は14歳以上です。それ未満の患者様におかれましては適応外になる可能性がございます。初診時は予約フォームの備考欄に年齢を記載のうえ、ご相談いただければと思います。
  • ※未成年の方は保護者の同意書が必要となります。(一部提携クリニックでは、18歳以上でも同意書を求める場合があります。)同意書はこちら​からダウンロードできます。印刷してご記入のうえお持ちください。未成年の方で同意書がない場合は初回検診を受けることができませんので、ご注意ください。
  1. ※1:治療期間には個人差があります。
  2. ※1:保定期間は含みません。キレイライン矯正に限らず、すべての矯正歯科治療において、治療終了後は後戻りを防ぐため保定期間が必要です。
  3. ※2:痛みの感じ方には個人差があります。
  4. ※3:効果には個人差があります。
  5. ※3:ホワイトニングはキレイライン矯正による矯正歯科治療の一環ではなく、患者様のご要望や症状により歯科医師の判断のもと行われるクリニックによる追加治療です。詳細は提携クリニックに直接ご確認ください。
  6. ※3:16歳未満の方へのホワイトニングは推奨しておりません。そのため、年齢によってはホワイトニング剤のお渡しを控えさせていただく可能性があります。
  • お財布と相談しながら自分のペースで治療を進められる
  • 満足したタイミングで終了できる※歯科医師と相談し、歯の健康に支障がないと診断されれば中止が可能です。

キレイライン矯正を検討している方へ

もし少しでも歯並びを
治したいと思っているなら、

ぜひ一度初回検診へお越しください

  • ・あなたがいくらで矯正できるか
  • ・どのくらいの期間がかかるかなど、

何でもご相談可能です!

提携クリニックは全国60ヶ所以上

ボタンを押すと提携クリニックと日時を選べる
予約フォームに進みます(当日予約可能)

  • ※本人確認のため保険証をご持参ください。
  • ※初回検診には3,500円程度(税別)の検診費用がかかります。
  • ※診察の結果、キレイライン矯正が適応できず治療ができない場合もございます。その場合も、初回検診料(3,500円程度)は発生します。
  • ※推奨年齢は、男性は16歳以上・女性は14歳以上です。それ未満の患者様におかれましては適応外になる可能性がございます。初診時は予約フォームの備考欄に年齢を記載のうえ、ご相談いただければと思います。
  • ※未成年の方は保護者の同意書が必要となります。(一部提携クリニックでは、18歳以上でも同意書を求める場合があります。)同意書はこちら​からダウンロードできます。印刷してご記入のうえお持ちください。未成年の方で同意書がない場合は初回検診を受けることができませんので、ご注意ください。

よくある質問

どのくらいの頻度で通院しなければなりませんか?

【1回目治療の通院】
初回検診時にご契約いただき、型採りをした場合、3週間後以降に1回目のマウスピースをお受け取りいただきます。

【2回目治療以降の通院】
都度払いの場合は『1カ月半(45日)に2度』、コース払いの場合は『3ヶ月に2度』のペースでご来院ください。 2回目以降の検診では、矯正の進行度合いをドクターと相談しながら矯正を継続するかどうかをお決めいただきます。歯の健康に支障がないと診断されれば、ご希望のタイミングで治療を終えることもできるため、お気軽にご相談ください。

  • ※期間の表記はすべて『最短』での記載です。 長期休暇を挟む場合や、キレイライン以外の患者様を含めた提携クリニック様の空き状況により、通院期間が延びる可能性もございます。
  • ※一部のクリニック様を除き、初回検診以降は再診料として、1回の来院につき3,300円程度(税込)がかかります。再診料の有無・金額など詳細は通われるクリニック様へお問い合わせください。
  • ※来院回数は提携クリニック様により異なる場合があります。また歯科医師の診断により、来院回数が変更になる可能性があります。
  • ※保定期間中の再診料は提携クリニック様によって異なりますので、詳細は通われるクリニック様へお問い合わせください。
  • ※キレイライン矯正治療中および保定期間中の再診料は来院ごとにクリニック様受付にて現金もしくはクレジットカードでお支払いいただきます。
マウスピースは痛いですか?

マウスピースを着用して数日間は痛みを感じる場合がありますが、2日程度で慣れる場合がほとんどです。
・複数のマウスピースで、徐々に矯正していく
・一つの型でもソフト・ハードと徐々に硬くしていく
このプロセスにより急激な変化がないことが、痛みを感じにくい理由です。

抜歯をすることはありますか?

キレイライン矯正では、「できる限り、健康な歯を抜かない・削らない治療」を基本方針としています。 症状が強くてどうしても抜歯が必要な場合には行いますが、拡大床の併用やIPR(歯の側面を削る治療)によって対応できる場合には、健康な歯はなるべく抜きません。

  • ※抜歯・拡大床・IPR(削る処置)はいずれもキレイライン矯正による治療の一環ではなく、医師の判断のもと行われる「クリニックでの治療」に該当致します。詳細はクリニック様へお問い合わせください。
マウスピースは1日にどのくらい(何時間)装着すればよいですか?

キレイライン矯正では、1日20時間以上の装着をお願いしております。

  • ※お食事・間食の際は、マウスピースの破損を避けるため必ず取り外していただいております。
  • ※1日4時間以内ならばマウスピースを外すことができますが、より矯正効果を実感するためには、1回あたりの外す時間をなるべく1時間以内に収めることがベストです。
マウスピース装着中に食事は可能ですか?

お食事・間食される際は、破損を防ぐためにマウスピースをお外しください。
また、食後(マウスピース装着前)には歯を磨き、歯とマウスピースを清潔に保ってください。

  • ※マウスピースを外す時間は1日4時間以内でお願いいたします。1回の外す時間は1時間以内であるとより効果的です。
男性でもキレイライン矯正は可能ですか?

はい、可能です。
実際、男性でもキレイライン矯正で治療中の方は多くいらっしゃいます。
男性も女性も同じ内容の治療を提供しておりますので、ぜひご検討くださいませ。

-最後に-キレイライン矯正からあなたへ

最後までページをご覧いただきありがとうございます。

ここまでご覧いただいたあなたはきっと、
ご自身の歯並びについて
今まで本気で悩み、
何度も矯正を考えていた方なんだと思います。

もしかすると、様々な選択肢を検討してみたけど
どこもハードルが高かったりして、
あと一歩の勇気を出せていないのかもしれません。

ただ、今あなたがこうやって私たちと出会い、
この文章をお読みいただいていることは、
きっと何かのご縁だと思うのです。

私たちは、今までずっと
「歯の矯正をもっと手軽に」という想いで
今日まで努力を重ねてきました。

だからこそ私たちには
あなたに満足していただける自信があります。

どうか私たちにお任せください。

提携クリニックは全国60ヶ所以上

ボタンを押すと提携クリニックと日時を選べる
予約フォームに進みます(当日予約可能)