





マウスピースを交換しながら、
少しずつ歯を動かしていく矯正法です。


実は今、20~30代女性のうち
すでに80%以上がマウスピース矯正の
ことを知っており、とても注目度が
上がっている矯正法なんです!






私たちは、サービス開始以来
「歯科矯正を当たり前なものにしたい」
という想いのもと、
努力を続けてまいりました。



これからもたくさんの方に
選んでいただけるよう
多数の実績に基づき、
品質の高い治療を提供し続けます。

短時間で矯正できます

矯正は2~3年かかると思っていませんか?
キレイライン矯正なら、最短5ヶ月という短期間でキレイな歯並びを目指せます!
マウスピース矯正は目立ちにくいとはいえ、どうせなら早く終わった方が嬉しいですよね♪
マウスピースを使用

マウスピース矯正はもともとワイヤー矯正より痛みを感じにくいと言われています。
さらにキレイライン矯正では、痛みを少しでも和らげるために2種類の硬さ(ソフト・ハード)のマウスピースを順番に使用します。
その結果、より痛みを感じにくいマウスピース矯正となっているのです。
マウスピースを使って

マウスピースにホワイトニング剤を注入しておくだけで、カンタンにホワイトニングができるのもポイント。
キレイライン矯正では、ホワイトニング剤が最低1本、契約内容に応じて最大4本が料金に含まれています!
歯並びを治しながら、同時に白い歯も目指せるなんて、一石二鳥だと思いませんか?



歯並びをキレイにするなら、
同時にホワイトニングもできた方が
嬉しくないですか?
※ワイヤー表側矯正では、
矯正しながらホワイトニングをするのは
難しい場合が多いです。





無理に貯金や節約をしなくても、
少ない負担で矯正を始めることができます!


キレイライン矯正では、1回につき
ソフト・ハードのマウスピース2種類を使って
治療を行い、何回か繰り返すことで
キレイな歯並びを目指します。
初回2万円(税込22,000円)
2回目以降5万円(税込55,000円)
というのは、その"交換費用"です。



キレイライン矯正では、
最初に治療費用をまとめて支払うのではなく、
マウスピースを交換するごとに
分けて支払うことが可能。
まず2万円(税込22,000円)で
キレイライン矯正を始めたら、
次にマウスピースを交換する(=お金を払う)のは、
"お金が貯まった半年後"というのもOKです!

だから、
もし今お金に余裕がなくても、
気軽な気持ちで始めることができ、
その後もあなたのペースで
治療を進めることができるんです!

もしかすると、治療の途中でも
「もう歯並び気にならなくなった!」
と満足する方もいるかもしれません。
その場合、歯科医師との相談のもと
歯の健康に支障がないと診断されれば、
途中で終了することが可能。

自分が納得する歯並びになったタイミングで
終了することができるので、
お財布の負担を最小限に抑えることができます!

キレイライン矯正では、
まず初回だけ試してみて、
そのあと続けるかどうか決めるというのもOK

矯正に必要なグッズすべて合わせて

約1ヶ月半、マウスピースを試してみて
その後続けるかどうかは自由に決められます!
少しでも気になっていたら、
まずはお気軽に試してみてください!


初回契約時に、複数回分をまとめて支払うことができます。
通常よりお得になるため、費用を安く抑えたいという方にはオススメです!


デンタルローンを利用して月々の分割払いにすることも可能です。
分割することで支払期間は長くなってしまいますが、1回の支払いの負担を抑えたいという方にはオススメです!

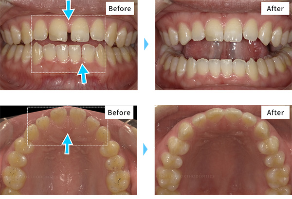
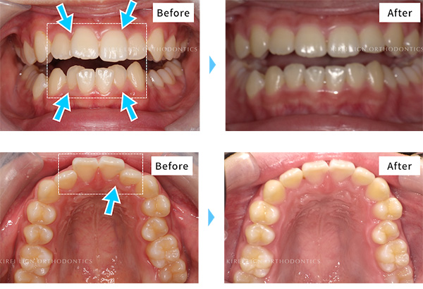
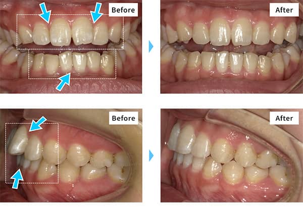
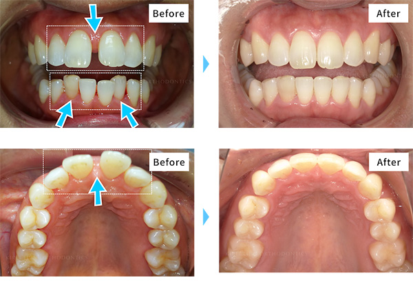
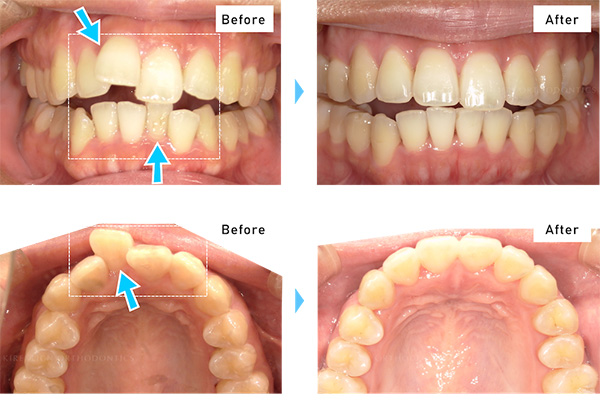
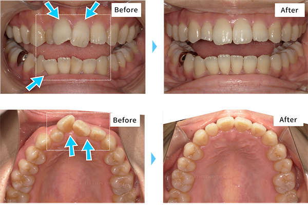
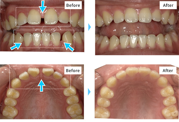
キレイライン矯正で実際に治療した方のビフォーアフター写真・治療費用を紹介します。
自分に近い歯並びを探して、どれくらいの費用で治療できるのか、参考にしてみてください!
比較的少ない回数で終了した症例です。ご覧のとおり、治療費用を抑えることができています。

47108131
出っ歯,ガタガタな歯
(4回) 12,000円 (税込13,200円)
拡大床(上下)80,000円 (税込88,000円)

36130814
すきっ歯,ガタガタな歯
(4回) 12,000円 (税込13,200円)
なし

5310308
ガタガタな歯
(4回) 12,000円 (税込13,200円)
拡大床(上下)80,000円 (税込88,000円)

36101618
すきっ歯
(7回) 21,000円 (税込23,100円)
なし

23104218
ガタガタな歯
(7回) 21,000円 (税込23,100円)
拡大床(上のみ)40,000円 (税込44,000円)
標準的な回数で治療が終了した症例です

40028084
ガタガタな歯
(6回) 18,000円 (税込19,800円)
なし

23009577
出っ歯,ガタガタな歯
(6回) 18,000円 (税込19,800円)
拡大床(上下)80,000円 (税込88,000円)

44143755
出っ歯,ガタガタな歯
(6回) 18,000円 (税込19,800円)
IPR(2回) 6,000円 (税込6,600円)

36051864
出っ歯
(8回) 24,000円 (税込26,400円)
拡大床(上下)80,000円 (税込88,000円)

19138269
すきっ歯,ガタガタな歯
(6回) 18,000円 (税込19,800円)
なし
回数が多めの症例です。比較的費用は高くなってしまいますが、様々な歯並びに対応することができます。

7109608
出っ歯,ガタガタな歯
(8回) 24,000円 (税込26,400円)
拡大床(上下)80,000円 (税込88,000円)
IPR(1回) 3,000円 (税込3,300円)

49126848
出っ歯,ガタガタな歯
(8回) 24,000円 (税込26,400円)
拡大床(上下)80,000円 (税込88,000円)

47048202
すきっ歯
(8回) 24,000円 (税込26,400円)
なし

5046323
ガタガタな歯
(8回) 24,000円 (税込26,400円)
拡大床(上下)80,000円 (税込88,000円)

36016308
すきっ歯
(10回) 30,000円 (税込33,000円)
なし
※症例全体にかかる注記・マウスピース矯正(キレイラインを含む)の主なリスク・症例にカ関するお問い合わせはこちらをご確認ください。



初回検診では、歯科医師が診察を行い
が分かります!



キレイライン矯正は多数の症例実績があり、
など様々な歯並びに対応しています!

マウスピースがナイトガードのように作用するので、歯を守るためにも有効です。
「私の歯並びはキレイライン矯正じゃ治せないのでは?」
と決めつける前に、
まずは初回検診にお越しいただき、
歯科医師にぜひご相談ください!
初回検診では、歯科医師が診察を行い
・あなたがいくらで矯正できるか
・どのくらいの期間がかかるか
が分かります!

多数の症例実績で、高品質な治療に。
キレイライン矯正は、マウスピース矯正の経験が豊富な歯科医師がたくさん在籍しています。

東京プラス齒科 矯正歯科
ちがさき院
岩手医科大学う蝕治療学分野
常任研究員

赤坂さくら歯科クリニック 院長
日本口腔インプラント学会所属
日本歯周病学会所属東京SJCD歯科スタディーグループ所属
日本顕微鏡歯科学会所属

東京プラス歯科 矯正歯科
蒲田 院長
鶴見大学歯学部歯学科卒業
医療法人社団友伸會
日本障害者歯科学会所属
豊富な経験をもとに、あなたのお悩み・ご要望に沿った高品質な治療を提供いたします。
マウスピースをデザイン
マウスピース矯正ブランドによっては、
効率を重視し、海外の工場で大量生産を
行っている場合もあります。

しかしキレイライン矯正では、
日本の国家資格を持つ歯科技工士100名以上が、
歯科医師の指示のもと国内でマウスピースを
製造しています。

また、膨大な歯列データとデジタル技術を導入し、
距離0.05mm・角度0.5度単位での
治療計画を立てることができ、患者様1人1人の
歯並びにあった高品質な治療を提供可能です。
2022年スタート
全患者様へアンケートを行い、
その結果を元に提携クリニックへの
指導・改善施策を実施。
キレイライン矯正の治療体験を改善しています。

さらに、提携クリニック・提携技工所・各大学の
研究機関との連携を強化。
キレイライン矯正の治療品質を改善しています。

高額なイメージがあり、
諦めてしまう人がいる。
こんな問題を解決するために、
キレイライン矯正は誕生しました。
キレイな歯並びは、
見た目の美しさだけでなく
心に自信を与えてくれます。
だからこそ、歯科矯正を
もっと手軽で当たり前のものにしたい。
そんな想いを持って
私たちはこれからも努力を続けてまいります。

キレイライン矯正を始めたい方は
まずは初回検診を受けましょう!

少しでもキレイライン矯正が気になったら、まずは初回検診で気軽に相談してみましょう。
予約したい方は、まず予約フォームから近くのクリニックの空き状況をご確認ください。

初回検診では、歯型スキャンやレントゲン撮影をしてあなたの歯と顎の状態をチェックします。
いくらで、どのくらいキレイになるかシミュレーションを見ることもできます。

キレイライン矯正を始める上での不安や悩みを相談できます。
あなたに合った治療の進め方を提案するので、どんな些細なことでもお気軽にご相談ください。

相談が終わったら、キレイライン矯正を始めるかを決めます。
もちろんその場では決断せず、持ち帰って考えるのもOKです。
2万円(税込22,000円)のお試しだけでも大歓迎ですので、まずはお気軽にお越しください。







もし少しでも歯並びを
治したいと思っているなら、
ぜひ一度初回検診へお越しください
何でもご相談可能です!

【1回目治療の通院】
初回検診時にご契約いただき、型採りをした場合、3週間後以降に1回目のマウスピースをお受け取りいただきます。
【2回目治療以降の通院】
都度払いの場合は『1カ月半(45日)に2度』、コース払いの場合は『3ヶ月に2度』のペースでご来院ください。 2回目以降の検診では、矯正の進行度合いをドクターと相談しながら矯正を継続するかどうかをお決めいただきます。歯の健康に支障がないと診断されれば、ご希望のタイミングで治療を終えることもできるため、お気軽にご相談ください。
マウスピースを着用して数日間は痛みを感じる場合がありますが、2日程度で慣れる場合がほとんどです。
・複数のマウスピースで、徐々に矯正していく
・一つの型でもソフト・ハードと徐々に硬くしていく
このプロセスにより急激な変化がないことが、痛みを感じにくい理由です。
キレイライン矯正では、「できる限り、健康な歯を抜かない・削らない治療」を基本方針としています。 症状が強くてどうしても抜歯が必要な場合には行いますが、拡大床の併用やIPR(歯の側面を削る治療)によって対応できる場合には、健康な歯はなるべく抜きません。
キレイライン矯正では、1日20時間以上の装着をお願いしております。
お食事・間食される際は、破損を防ぐためにマウスピースをお外しください。
また、食後(マウスピース装着前)には歯を磨き、歯とマウスピースを清潔に保ってください。
はい、可能です。
実際、男性でもキレイライン矯正で治療中の方は多くいらっしゃいます。
男性も女性も同じ内容の治療を提供しておりますので、ぜひご検討くださいませ。
最後までページをご覧いただきありがとうございます。
ここまでご覧いただいたあなたはきっと、
ご自身の歯並びについて
今まで本気で悩み、
何度も矯正を考えていた方なんだと思います。
もしかすると、様々な選択肢を検討してみたけど
どこもハードルが高かったりして、
あと一歩の勇気を出せていないのかもしれません。
ただ、今あなたがこうやって私たちと出会い、
この文章をお読みいただいていることは、
きっと何かのご縁だと思うのです。
私たちは、今までずっと
「歯の矯正をもっと手軽に」という想いで
今日まで努力を重ねてきました。
だからこそ私たちには
あなたに満足していただける自信があります。
どうか私たちにお任せください。
