※症例全体にかかる注記・マウスピース矯正(キレイライン矯正を含む)の主なリスク・症例に関する
 お問い合わせ先はこちらをご確認ください。

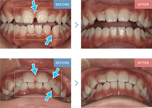
※キレイライン矯正とワイヤー矯正を組み合わせたコンビネーション治療は、キレイライン矯正の治療の一環ではなくクリニックによる追加治療です。費用や対応可否はクリニックにより異なります。
※治療期間はコンビネーション治療、ワイヤー矯正ともに非抜歯の場合。ただし、コンビネーション治療では歯科医師の診断のもと、追加治療としてIPRが必要となる場合があります。
ボタンを押すと提携クリニックと日時を
選べる予約フォームに進みます。(当日予約可能)

※初回検診費用は各提携クリニックにより多少前後します。
※IPR、抜歯など提携クリニックによる治療費用は各提携クリニックにより異なります。

※上記の料金のほかに、初回検診料として3,500円程度(税別)、再診料として、来院ごとに3,300円程度(税込)が別途かかります。金額はクリニックによって多少前後します。
※患者様の状態によって、片顎4万円(税込44,000円)の拡大床の使用を推奨させていただく場合もあります。
※追加治療(拡大床、IPRなど)には別途料金がかかります。これらはキレイライン矯正の一環ではなく、患者様のご要望や症状により歯科医師の判断のもと行われる「クリニックによる追加治療」です。詳細は、提携クリニックに直接ご確認ください。
※リテーナーは症状等により税込22,000~66,000円の別途費用、6回以上のコースの場合は、マウスピース型リテーナーが無料になります。詳しくは提携クリニックにお問い合わせください。

ホワイトニング剤2本を2週間、上顎前歯に使用。

※効果には個人差があります。※治療状況により異なります。
※ホワイトニングはキレイライン矯正による矯正歯科治療の一環ではなく、患者様のご要望や症状により医師の判断のもと行われる「クリニックの治療」に該当します。詳細は、提携クリニックに直接ご確認ください。
※16歳未満の方へのホワイトニングは推奨していないため、年齢によってはホワイトニング剤のお渡しを控えさせていただく可能性があります。
※上記の料金のほかに、初回検診料として別途3,500円程度(税別)の費用がかかります。
※16歳未満の方へのホワイトニングは推奨していないため、年齢によってはホワイトニング剤のお渡しを控えさせていただく可能性があります。
ボタンを押すと提携クリニックと日時を
選べる予約フォームに進みます。(当日予約可能)