メニュー
メニュー

ちょっとズレた歯並びを月々約3000円からで「キレイ」へ。キレイライン矯正

マスクで口元が隠れる今がチャンス
  • 初回検診には3,500円程度の検診費用がかかります。
  • 本人確認のため保険証をご持参ください。
  • 診察の結果、キレイライン矯正が適応できず治療ができない場合もございます。その場合も、初回検診料(3,500円程度)は発生します。
  • 対象年齢は、男性は16歳以上・女性は14歳以上です。それ未満の患者様におかれましては適応外になる可能性がございます。初診時は予約フォームの備考欄に年齢を記載のうえ、ご相談いただければと思います。
  • 未成年者の場合、親権者から下記の同意書にサインをいただき印刷したものをご持参下さい。同意書がない場合は初回検診を受けることができませんので、ご注意ください。同意書はこちら​

※症例全体にかかる注記・マウスピース矯正(キレイライン矯正を含む)の主なリスク・症例に関するお問い合わせ先はこちらをご確認ください。

ぜひあなたも
  • 初回検診には3,500円程度の検診費用がかかります。
  • 本人確認のため保険証をご持参ください。
  • 診察の結果、キレイライン矯正が適応できず治療ができない場合もございます。その場合も、初回検診料(3,500円程度)は発生します。
  • 対象年齢は、男性は16歳以上・女性は14歳以上です。それ未満の患者様におかれましては適応外になる可能性がございます。初診時は予約フォームの備考欄に年齢を記載のうえ、ご相談いただければと思います。
  • 未成年者の場合、親権者から下記の同意書にサインをいただき印刷したものをご持参下さい。同意書がない場合は初回検診を受けることができませんので、ご注意ください。同意書はこちら​
 
  • 効果には個人差があります。
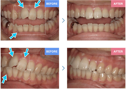
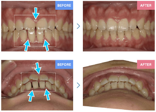
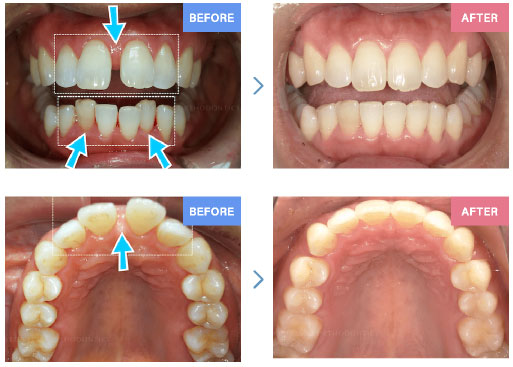
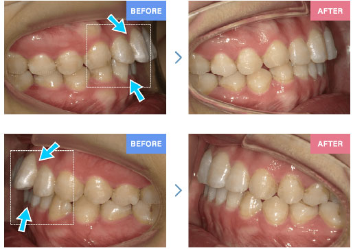
  • お写真は患者様の許可を得て掲載しています。
  • 掲載している症例は、治療中の方も含みます。
  • 掲載している症例は、ホワイトニング併用の場合も含みます。ホワイトニングの追加費用は算出しておりませんのでご注意ください。
  • 初回検診料3,500円程度(税別)およびリテーナー費用22,000円~66,000円(上下・税込)が別途発生します。
  • 治療回数を元に最新の料金を、期間は実際にかかった治療期間を記載しています。各症例の治療費用はコースで購入した場合の 費用です。1回ずつ購入したい場合は、初回のみ2万円(税込22,000円)・2回目以降5万円(税込55,000円)です。
    コースを組み合わせたほうが費用が安くなります。
  • 再診料はクリニックによって異なりますので、詳細は通われる提携クリニックにお問い合わせください。
  • 来院回数はコース契約時の最短の来院スケジュールで計算しています。来院回数は提携クリニックによって異なる場合があります。
  • 拡大床の費用は、全キレイライン提携クリニック一律で片顎4万円(税込44,000円)です。
  • IPR(歯の側面を削る治療)は、1回の処置につき3,000円(税込3,300円)で計算しています。
  • 追加治療(拡大床・IPR・ホワイトニングなど)はキレイライン矯正による矯正歯科治療の一環ではなく、患者様のご要望や症状 により医師の判断のもと行われる「クリニックの治療」に該当します。詳細は、提携クリニックに直接ご確認ください。
  • 拡大床・IPR以外の追加治療につきましては、対応していない提携クリニックもあります。追加治療をご希望の方は事前にクリニッ クへお確かめください。
  • キレイライン矯正をご契約いただいた場合、ホワイトニング剤最低1本が料金に含まれます(全員対象)。2本目以降はクリニッ クによって費用が異なりますので、詳細は提携クリニックにお問い合わせください。
  • マウスピース矯正(キレイライン矯正含む)の主なリスク虫歯・歯肉炎・歯周病・ブラックトライアングル・歯根吸収・歯肉退縮・ 1日20時間以上のマウスピース装着が必須・マウスピースにより痛みを感じる可能性・治療中に一時的に咬み合わせに不具合を きたす可能性・治療終了後約2年間はリテーナーを毎日20時間以上装着