治療品質にこだわり抜いた キレイライン矯正
当日予約OK! 無料初回検診に予約

※1 2017年6月〜2023年11月の契約者様の合計数
※2 デンタルローンを利用して10回コース(330,000円)を120回払いで支払う場合

キレイライン矯正とは

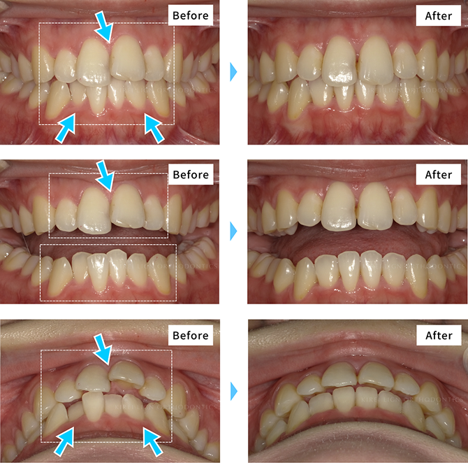
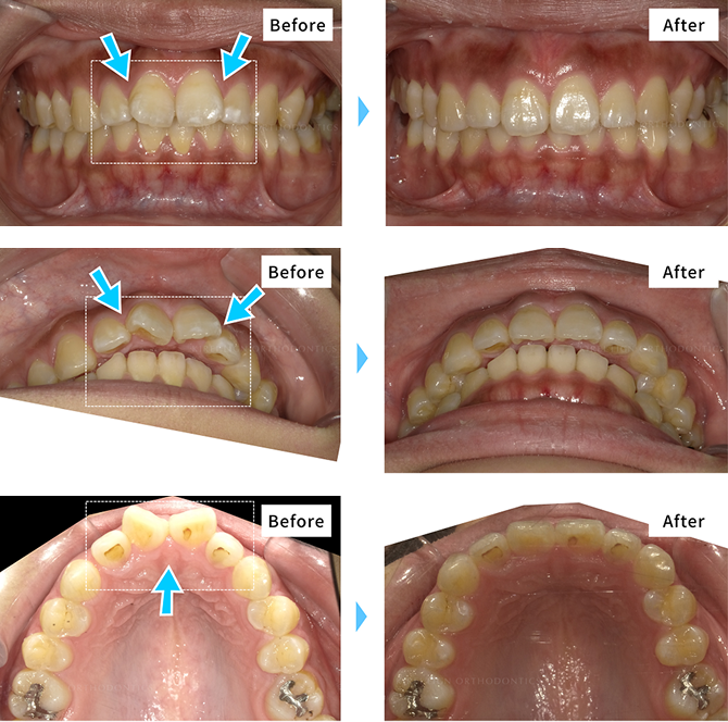
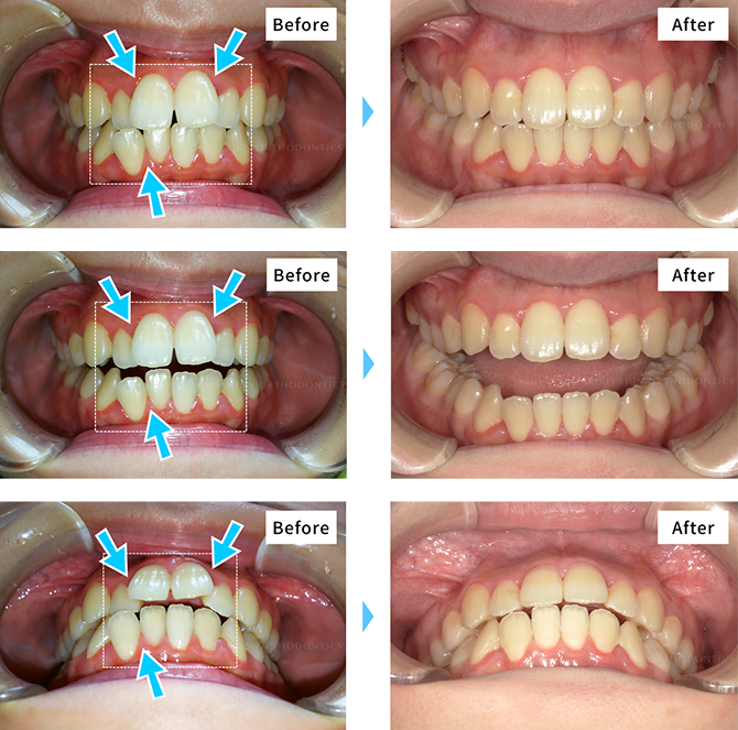
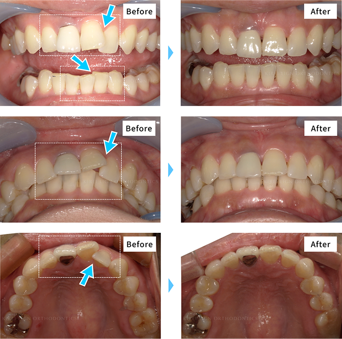
矯正治療の症例

CASE 矯正治療の症例
豊富な症例数 から状態に
適した治療プランもご提案

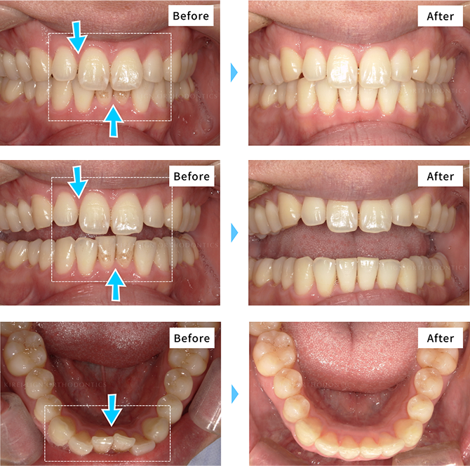
キレイラインを7回実施

  • [ 治療期間 ] 7月半
  • [ 治療費用 ] 290,000

(税込319,000円)

※効果には個人差があります。
※補綴・治療の費用は各提携クリニックによって異なります。

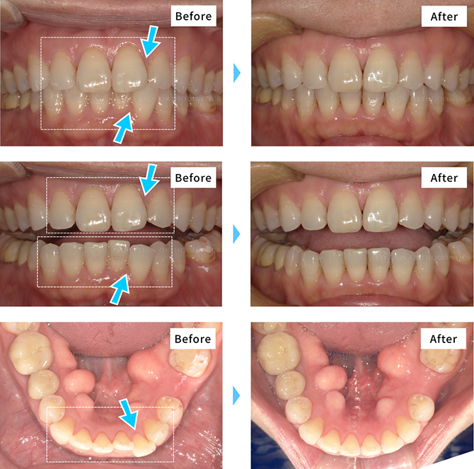
キレイラインを4回実施

キレイラインを4回実施

  • [ 治療期間 ] 4月半
  • [ 治療費用 ] 160,000

(税込176,000円)

※効果には個人差があります。
※補綴・治療の費用は各提携クリニックによって異なります。

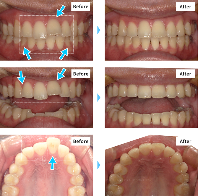
キレイラインを10回実施

キレイラインを10回実施

  • [ 治療期間 ] 10月半
  • [ 治療費用 ] 420,000

(税込462,000円)

※効果には個人差があります。
※補綴・治療の費用は各提携クリニックによって異なります。

キレイラインが
評価される理由

キレイラインが 評価される理由

患者様の声を常に 収集し改善点を反映

患者様の不満・不安のリアルな
声から治療内容・体験を常に
改善し品質を向上し続けています

それでもすぐに 改善するのは 難しいのでは?

独自の体制で 即改善が可能

クリニック・技工所・大学の
研究機関との連携が強固

独自の体制で即改善が可能
共同開発 連携を強化 治療品質を改善

治療品質の向上を実現!

Quality improvement
デジタル技術の 積極活用 歯科技工士による 歯列デザイン 歯を動かすのに 適した素材

歯に関する悩みを
まとめて矯正します

歯に関する悩みを まとめて矯正します

患者さまのお声

キレイラインへの 喜びの声を いただきました!

思いっきり 笑えるようになりました!

思いっきり 笑えるように なりました!

矯正と一緒にホワイトニングも受けられたので歯が整うだけでなく白さもアップ!人前でも思いっきり笑えて、すっかり自信が持てました!

時短ができて 結果も大満足です!

時短ができて コスパもいい! 結果も大満足です!

矯正を始めて、想像以上に短期間で歯並びが整いました。費用も抑えられて結果にも大満足!忙しい人にもおすすめです!

年齢を重ねるほど 歯は動きにくく なります

カウンセリング

約1時間で歯のことを 正確に知れます!

透明で馴染む素材なのでほとんど気づかれない

キレイライン矯正の 3つの特徴

取り外しがカンタン普段と変わらない生活を

取り外しがカンタン普段と変わらない生活を

痛みを感じにくく装着してるのを忘れるほど

痛みを感じにくく装着してるのを忘れるほど
キレイラインのマウスピースは 日常生活に支障がでず 歯列矯正ができる!

脱毛や美容皮膚科など他にも
お金をかけたいのに、歯の矯正だけで
手いっぱいになるのはちょっと…

キレイラインは 長い業界歴から 得たノウハウで 治療の質は高く、 金額の大幅な ダウンを実現

歯の悩みを全て解決する
手段も豊富です!

歯の悩みを全て解決する手段も豊富です!

デジタル技術を活用した
歯の移動量の最大化

高品質 低価格 マウスピース矯正の老舗 キレイライン最大の強み 0.5

国家資格の歯科技工士による
マウスピースデザイン

1本1本適切に調整するため 高品質な マウスピースの 制作を実現

マウスピース矯正の
ドクター多数在籍

マウスピース矯正経験豊富なドクター多数在籍

マウスピースの製品や
体制だけでなく治療を行う
ドクターも品質向上の理由です

対応する症例

全顎にも対応

キレイラインは
部分矯正に特化したものから

動かない歯は ありません!

カウンセリング

約1時間で歯のことを 正確に知れます!

キレイライン料金プラン

患者様の症状に応じた 様々な治療プランを ご用意しています

患者様の症状に応じた
様々な治療プランをご用意しています

通常のマウスピースの最大2枚の枚数分に相当します。
※症例の状態によって異なる場合があります。

都度払いも可能

100日で完了! 最も選ばれているコースです

※デンタルローンを利用して10回コース(330,000円)を120回払いで支払う場合の分割支払金額です。一部のクリニックはローン非対応。信販会社や手数料はクリニックにより異なります。

990円から始められる お試しマウスピースもご用意!
キレイラインフル より多くの症例に対応できるようになりました!

キレイライン
あなた史上最も素敵な笑顔を!

リーズナブルに始めて 印象をガラっと変える

まずは 自分の治療プラン
いくらか確認してみてください!

キレイライン矯正をはじめるなら DDデンタルグループに
お任せください

審美矯正専門 DDデンタルグループが
選ばれる理由
DDデンタルグループに お任せください

1.手が届く価格設定で
自分にあった支払い方法が選べる

当クリニックでは手が届く価格設定にこだわり、矯正治療のハードルを下げることで、より多くの方が矯正治療を受け、健康的で美しい口元をめざせるように取り組んでいます。
また、患者様一人ひとりにあった支払いプランが選べます。

  • 手が届く
    価格設定
  • 柔軟な
    支払方法
リーズナブルな価格自分にあった支払い方法が選べる

2.最新設備、駅近
土日も予約可能で通いやすい

23院全てに完備

最新の設備を完備し、患者様一人ひとりのニーズやライフスタイルに適した高品質な治療を実現しています。

最新設備、駅近 土日も予約可能で通いやすい

幅広い選択肢を
揃えています

当クリニックグループでは部分矯正から全顎矯正まで取り扱っています。

ブラーバやワイヤー矯正はもちろん、インビザラインや良質な素材にこだわった国産のマウスピース矯正など、患者様のライフスタイルやご希望に沿ったオーダーメイドな治療を提供しています。

また、より美しい仕上がりを追求した審美矯正にもこだわっており、韓国の大手美容外科グループ専属のドクターも在籍しています。

DDデンタルグループの初回検診では、

キレイラインは 全国125院以上

東京

アルディバラン渋谷デンタルクリニック

最寄り駅 各線「渋谷駅」より徒歩5分
診療時間 10:00~19:00(土曜:10:00~14:00)
休診日 祝日
所在地 〒150-0043 東京都渋谷区道玄坂1丁目16−7 ハイウェービル 7階

新宿駅前矯正歯科クリニック

最寄り駅 ・都営大江戸線「新宿西口駅」D5出口より徒歩約1分
・JR「新宿駅」より徒歩7分
・西武新宿線「西武新宿駅」より徒歩4分
診療時間 10:00~19:00
休診日 不定休
所在地 〒160-0023 東京都新宿区西新宿 7-2-5 TH西新宿4F

池袋DDデンタルクリニック

最寄り駅 JR・各線「池袋駅」38番または40番出口から徒歩5分
診療時間 10:00~14:00/15:00~19:00
休診日 なし
所在地 東京都豊島区南池袋1丁目21−5 第7野萩ビル6F

新橋DDデンタルクリニック

最寄り駅 ・JR「新橋駅」より徒歩3分
・都営地下鉄三田線「内幸町駅」より徒歩1分
・JR「東京駅」より電車で9分
・JR「有楽町駅」より電車で7分
・JR「浜松町駅」より電車で7分
・JR「田町駅」より電車で9分
診療時間 10:00~19:00
休診日 不定休
所在地 東京都港区新橋2-2-5 丸山ビル4階

コレクトデンタルクリニック 八王子

最寄り駅 JR線 八王子駅北口より徒歩8分
診療時間 10:00~13:30 / 14:30~19:00 (土曜:9:00~12:30 / 13:30~17:00)
休診日 木曜、日曜、祝日
※最終受付は診療終了の1時間前です
所在地 東京都港区新橋2-2-5 丸山ビル4階

コレクトデンタルクリニック 吉祥寺

最寄り駅 「吉祥寺駅」より徒歩1分
診療時間 10:00~13:30 / 14:30~19:00 (土曜、日曜:9:00~12:30 / 13:30~17:00)
休診日 火曜、祝日
※最終受付は診療終了の1時間前です
所在地 東京都武蔵野市吉祥寺本町1-8-2 吉祥寺西ビル B1F

神奈川・千葉・埼玉

横浜DDデンタルクリニック

最寄り駅 ・JR「横浜駅」より徒歩4分
・東急東横線「横浜駅」より徒歩4分
・京急本線「横浜駅」より徒歩4分
診療時間 10:00~19:00
休診日 不定休
所在地 〒220-0005 神奈川県横浜市西区南幸2-8-9 ブライト横浜 2F

コレクトデンタルクリニック 茅ヶ崎

最寄り駅 JR「茅ヶ崎駅」より徒歩5分
診療時間 10:00~13:30 / 14:30~19:00(土曜:9:00~12:30 / 13:30~17:00)
休診日 木曜、日曜、祝日
※最終受付は診療終了の1時間前です
所在地 神奈川県茅ヶ崎市茅ヶ崎2-5-27 大芝ビル 1F

コレクトデンタルクリニック 柏

最寄り駅 JR常磐線・東武野田線「柏駅」より徒歩0分
診療時間 10:00~13:30 / 14:30~19:00 (土曜、日曜:10:00~12:30 / 13:30~17:00)
休診日 祝日
※最終受付は診療終了の1時間前です
所在地 千葉県柏市柏1-1-20 スカイプラザ柏B1F

コレクトデンタルクリニック 船橋

最寄り駅 ・JR総武線 「船橋駅」 北口より徒歩3分 ・京成線 「京成船橋駅」より徒歩7分
診療時間 10:00~13:30 / 14:30~19:00 (土曜:9:00~12:30 / 13:30~17:00)
休診日 祝日
※最終受付は診療終了の1時間前です
所在地 千葉県船橋市本町6丁目6-1 北翔ビル3F

大宮駅前矯正歯科クリニック

最寄り駅 JR「大宮駅」より徒歩1分
診療時間 10:00~12:30 / 14:30~19:00(土日:9:00~12:30 / 13:30~16:00)
休診日 木曜、祝日
所在地 埼玉県さいたま市大宮区桜木町2-1-1 大宮アルシェ B1F

北海道

コレクトデンタルクリニック 札幌

最寄り駅 ・東西線「西11丁目駅」より徒歩4分
・各線「大通駅」より徒歩8分
診療時間 10:00~13:30 / 14:30~19:00(土曜: 9:00~12:30 / 13:30~17:00)
休診日 水曜、日曜、祝日
※最終受付は診療終了の1時間前です
所在地 北海道札幌市中央区南1条西9-1-2 第二北海ビル 5F

愛知・静岡・石川

名古屋DDデンタルクリニック

最寄り駅 ・地下鉄東山線・名城線「栄駅」より徒歩10分
・地下鉄名城線「矢場町駅」より徒歩15分
診療時間 10:00~19:00
休診日 不定休
所在地 〒460-0008 愛知県名古屋市中区栄3-11-16 SOK住吉ビル3階

静岡呉服町デンタル矯正歯科

最寄り駅 JR「静岡駅」より徒歩10分
診療時間 10:00~12:30 / 14:30~19:00 (土曜:9:00~12:30 / 13:30~16:00)
休診日 金曜、日曜、祝日
所在地 静岡県静岡市葵区呉服町2-8-1 アイランドプラザビル 4F

コレクトデンタルクリニック金沢

最寄り駅 ・JR「金沢駅」より車で6分
・バス停「金沢駅東口」から「香林坊」まで 乗車8分
診療時間 10:00~13:30 / 14:30~19:00 (土曜:10:00~12:30 / 13:30~17:00)
休診日 木曜、日曜、祝日
※最終受付は診療終了の1時間前です
所在地 石川県金沢市香林坊1-1-1 香林坊アトリオビル4F

新潟・宮城

新潟矯正歯科クリニック

最寄り駅 JR「新潟駅」より徒歩10分/ 車で5分
診療時間 10:00~12:30 / 14:30~19:00(土日:9:00~12:30 / 13:30~16:00)
休診日 月曜、金曜、祝日
所在地 新潟県新潟市中央区万代3-1-1 新潟日報メディアシップ4F

仙台青葉矯正歯科クリニック

最寄り駅 南北線「広瀬通駅」より徒歩5分
東西線「青葉通一番町駅」より徒歩3分
診療時間 10:00~12:30 / 14:30~19:00(土曜:9:00~12:30 / 13:30~16:00)
休診日 月曜、金曜、祝日
所在地 宮城県仙台市青葉区一番町3-1-18 しまぬきビル 2F

大阪・京都・兵庫

梅田駅前矯正歯科クリニック

最寄り駅 ・地下鉄「西梅田駅」より徒歩1分
・JR「大阪駅」より徒歩5分
診療時間 10:00~12:30 / 14:30~19:00(土日祝:9:00~12:30 / 13:30~16:00)
休診日 なし
所在地 大阪府大阪市北区梅田2-1-21 レイズ梅田ビル 3F

心斎橋DDデンタルクリニック

最寄り駅 ・御堂筋線・長堀鶴見緑地線「心斎橋駅」より徒歩1分
・四つ橋線「四ツ橋駅」より徒歩2分
診療時間 10:00~19:00
休診日 不定休
所在地 〒542-0085 大阪府大阪市中央区心斎橋筋1丁目10-12 グルメビル トレス 7階

京都四条矯正歯科クリニック

最寄り駅 ・京阪本線「祇園四条駅」より徒歩1分
・阪急京都線「河原町駅」より徒歩1分
診療時間 10:00~12:30 / 14:30~19:00(土曜:9:00~12:30 / 13:30~16:00)
休診日 火曜、日曜、祝日
所在地 京都府京都市下京区四条通小橋西入真町90番 吉寿屋四条ビル 5F

神戸三ノ宮駅前デンタル矯正歯科

最寄り駅 各線「三ノ宮駅」より徒歩1分
診療時間 10:00~12:30 / 14:30~19:00(土曜:9:00~12:30 / 13:30~16:00)
休診日 金曜、日曜、祝日
所在地 京都府京都市下京区四条通小橋西入真町90番 吉寿屋四条ビル 5F

福岡・熊本

天神駅前矯正歯科クリニック

最寄り駅 ・地下鉄「天神駅」より徒歩5分
・西鉄「福岡(天神)駅」より徒歩5分
診療時間 10:00~12:30 / 14:30~19:00(土曜:9:00~12:30 / 13:30~16:00)
休診日 水曜、日曜、祝日
所在地 福岡県福岡市中央区大名2丁目1番7号 FPG links DAIMYO5F

熊本上通矯正歯科クリニック

最寄り駅 熊本市電A系統・B系統「水道町駅」より徒歩5分
診療時間 10:00~12:30 / 14:30~19:00(土曜:9:00~12:30 / 13:30~16:00)
休診日 月曜、日曜、祝日
所在地 熊本県熊本市中央区上通町7-2 モアーズビル上通 2F

よくあるご質問

Q1

キレイライン矯正とは
何ですか?

キレイライン矯正は、透明で目立たないマウスピース矯正です。従来のワイヤー矯正と違い、痛みが少なく、短期間に歯並びを整えることができます。
Q2

どんな人に
向いていますか?

キレイライン矯正は、以下のような方におすすめです。
  • ・歯並びが気になるけど、ワイヤー矯正には抵抗がある
  • ・仕事や学校で矯正装置が目立つのがイヤ
  • ・できるだけコストを抑えて矯正したい
  • ・結婚式や大事なイベントまでにキレイな歯並びになりたい
Q3

ワイヤー矯正と
何が違いますか?

キレイライン矯正は、透明なマウスピース型の矯正なので、ワイヤー矯正と比べて以下のメリットがあります。
  • ・目立たないから、人前でも気にせず笑える
  • ・ワイヤーよりも優しい力で動かすから痛みが少ない
  • ・取り外しOKだから、食事や歯磨きがしやすく、口内を清潔に保てる
Q4

矯正は痛いって
聞きますが…?

キレイライン矯正は、ワイヤー矯正よりも痛みが少ないのが特長です。なぜなら、無理な力をかけずに、少しずつ歯を動かす設計になっているから。実際に、多くの方から想像より痛くなかったとお声を頂きます。
Q5

どのくらいで歯並びが
キレイになりますか?

個人差はありますが、早い方で3ヶ月~6ヶ月で変化を実感!多くの方が1年以内に理想の歯並びを実現しています。
Q6

料金はどれくらい
かかりますか?

キレイライン矯正は分割払い月々3,100円台~なので、無理なく始められます。
Q7

どこで受けられますか?

全国の提携クリニックで対応しており、最寄りのクリニックを探せます。現在無料カウンセリング実施中ですので、矯正するか迷っている方も、まずは無料で相談できます。お気軽にご予約ください。

カウンセリング

約1時間で歯のことを 正確に知れます!
当日予約OK! 無料初回検診に予約