(税込319,000円)
※効果には個人差があります。
※補綴・治療の費用は各提携クリニックによって異なります。
(税込176,000円)
※効果には個人差があります。
※補綴・治療の費用は各提携クリニックによって異なります。
(税込462,000円)
※効果には個人差があります。
※補綴・治療の費用は各提携クリニックによって異なります。
患者様の不満・不安のリアルな
声から治療内容・体験を常に
改善し品質を向上し続けています
クリニック・技工所・大学の
研究機関との連携が強固
矯正と一緒にホワイトニングも受けられたので歯が整うだけでなく白さもアップ!人前でも思いっきり笑えて、すっかり自信が持てました!
矯正を始めて、想像以上に短期間で歯並びが整いました。費用も抑えられて結果にも大満足!忙しい人にもおすすめです!
脱毛や美容皮膚科など他にも
お金をかけたいのに、歯の矯正だけで
手いっぱいになるのはちょっと…
0.5
マウスピースの製品や
体制だけでなく治療を行う
ドクターも品質向上の理由です
キレイラインは
部分矯正に特化したものから
通常のマウスピースの最大2枚の枚数分に相当します。
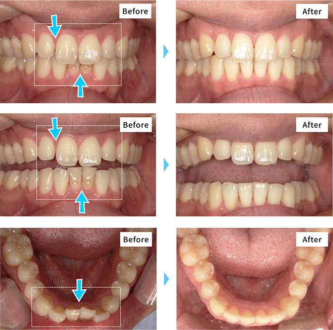
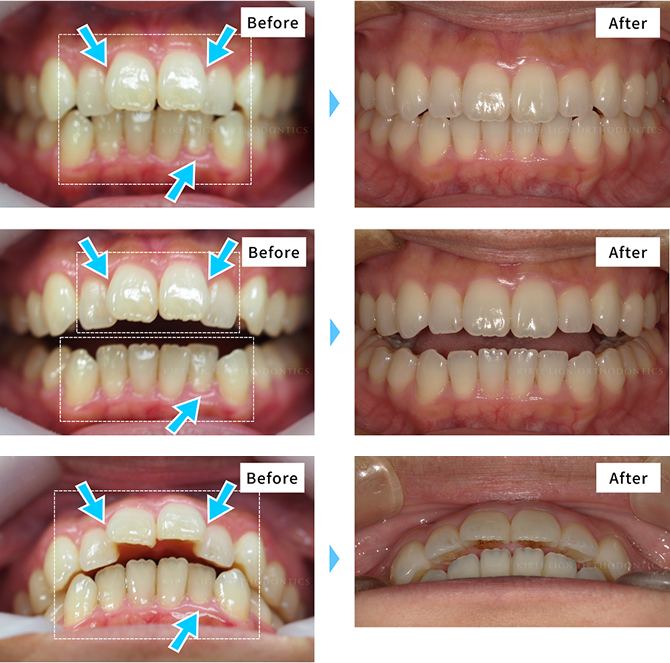
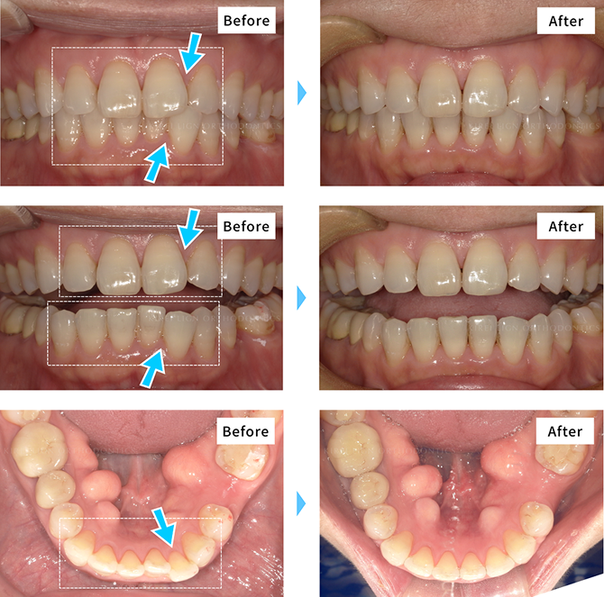
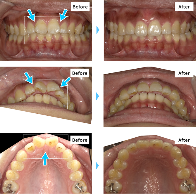
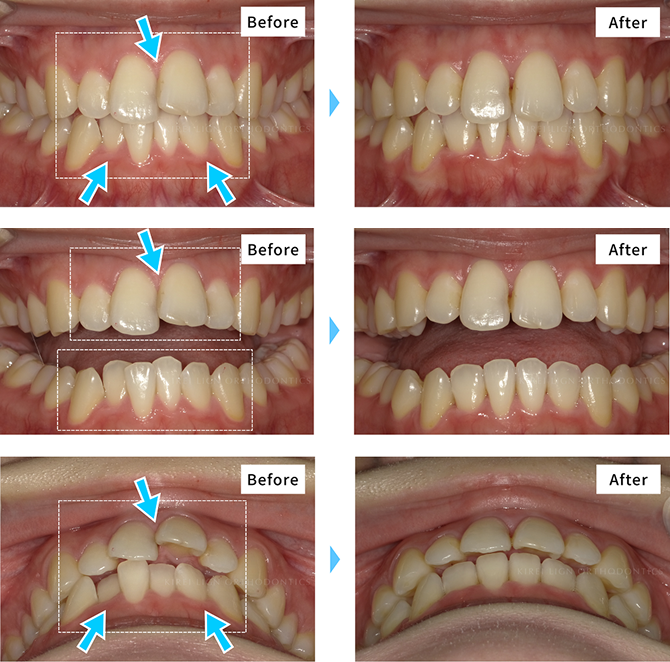
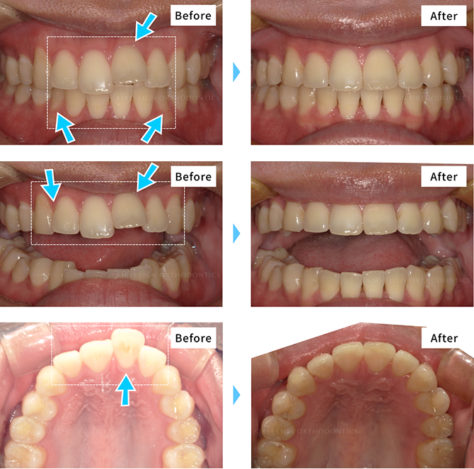
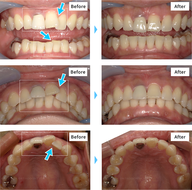
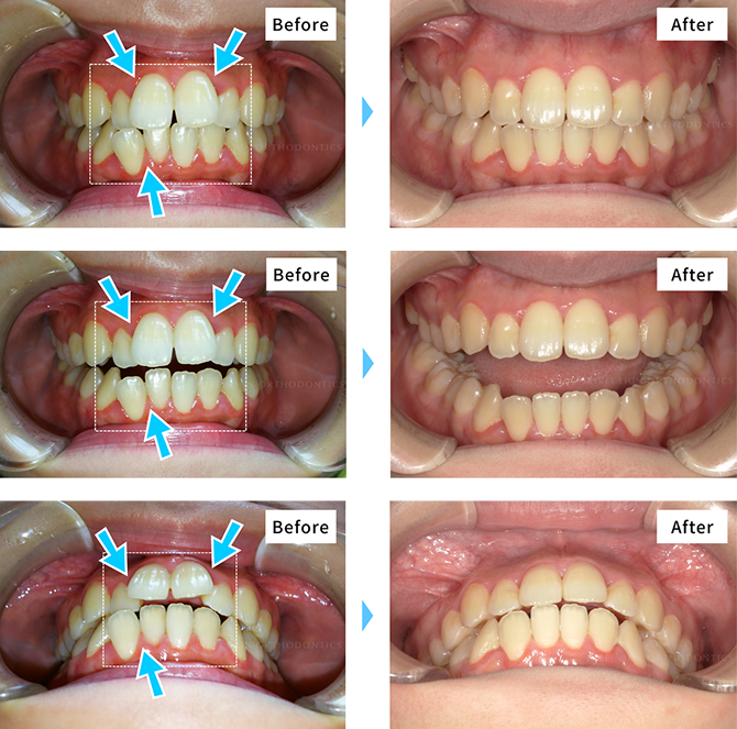
※症例の状態によって異なる場合があります。
※デンタルローンを利用して10回コース(330,000円)を120回払いで支払う場合の分割支払金額です。一部のクリニックはローン非対応。信販会社や手数料はクリニックにより異なります。
当クリニックでは手が届く価格設定にこだわり、矯正治療のハードルを下げることで、より多くの方が矯正治療を受け、健康的で美しい口元をめざせるように取り組んでいます。
また、患者様一人ひとりにあった支払いプランが選べます。
最新の設備を完備し、患者様一人ひとりのニーズやライフスタイルに適した高品質な治療を実現しています。
当クリニックグループでは部分矯正から全顎矯正まで取り扱っています。
ブラーバやワイヤー矯正はもちろん、インビザラインや良質な素材にこだわった国産のマウスピース矯正など、患者様のライフスタイルやご希望に沿ったオーダーメイドな治療を提供しています。
また、より美しい仕上がりを追求した審美矯正にもこだわっており、韓国の大手美容外科グループ専属のドクターも在籍しています。
| 最寄り駅 | 各線「渋谷駅」より徒歩5分 |
|---|---|
| 診療時間 | 10:00~19:00(土曜:10:00~14:00) |
| 休診日 | 祝日 |
| 所在地 | 〒150-0043 東京都渋谷区道玄坂1丁目16−7 ハイウェービル 7階 |
| 最寄り駅 |
・都営大江戸線「新宿西口駅」D5出口より徒歩約1分 ・JR「新宿駅」より徒歩7分 ・西武新宿線「西武新宿駅」より徒歩4分 |
|---|---|
| 診療時間 | 10:00~19:00 |
| 休診日 | 不定休 |
| 所在地 | 〒160-0023 東京都新宿区西新宿 7-2-5 TH西新宿4F |
| 最寄り駅 | JR・各線「池袋駅」38番または40番出口から徒歩5分 |
|---|---|
| 診療時間 | 10:00~14:00/15:00~19:00 |
| 休診日 | なし |
| 所在地 | 東京都豊島区南池袋1丁目21−5 第7野萩ビル6F |
| 最寄り駅 |
・JR「新橋駅」より徒歩3分 ・都営地下鉄三田線「内幸町駅」より徒歩1分 ・JR「東京駅」より電車で9分 ・JR「有楽町駅」より電車で7分 ・JR「浜松町駅」より電車で7分 ・JR「田町駅」より電車で9分 |
|---|---|
| 診療時間 | 10:00~19:00 |
| 休診日 | 不定休 |
| 所在地 | 東京都港区新橋2-2-5 丸山ビル4階 |
| 最寄り駅 | JR線 八王子駅北口より徒歩8分 |
|---|---|
| 診療時間 | 10:00~13:30 / 14:30~19:00 (土曜:9:00~12:30 / 13:30~17:00) |
| 休診日 | 木曜、日曜、祝日 ※最終受付は診療終了の1時間前です |
| 所在地 | 東京都港区新橋2-2-5 丸山ビル4階 |
| 最寄り駅 | 「吉祥寺駅」より徒歩1分 |
|---|---|
| 診療時間 | 10:00~13:30 / 14:30~19:00 (土曜、日曜:9:00~12:30 / 13:30~17:00) |
| 休診日 | 火曜、祝日 ※最終受付は診療終了の1時間前です |
| 所在地 | 東京都武蔵野市吉祥寺本町1-8-2 吉祥寺西ビル B1F |
| 最寄り駅 |
・JR「横浜駅」より徒歩4分 ・東急東横線「横浜駅」より徒歩4分 ・京急本線「横浜駅」より徒歩4分 |
|---|---|
| 診療時間 | 10:00~19:00 |
| 休診日 | 不定休 |
| 所在地 | 〒220-0005 神奈川県横浜市西区南幸2-8-9 ブライト横浜 2F |
| 最寄り駅 | JR「茅ヶ崎駅」より徒歩5分 |
|---|---|
| 診療時間 | 10:00~13:30 / 14:30~19:00(土曜:9:00~12:30 / 13:30~17:00) |
| 休診日 | 木曜、日曜、祝日 ※最終受付は診療終了の1時間前です |
| 所在地 | 神奈川県茅ヶ崎市茅ヶ崎2-5-27 大芝ビル 1F |
| 最寄り駅 | JR常磐線・東武野田線「柏駅」より徒歩0分 |
|---|---|
| 診療時間 | 10:00~13:30 / 14:30~19:00 (土曜、日曜:10:00~12:30 / 13:30~17:00) |
| 休診日 | 祝日 ※最終受付は診療終了の1時間前です |
| 所在地 | 千葉県柏市柏1-1-20 スカイプラザ柏B1F |
| 最寄り駅 | ・JR総武線 「船橋駅」 北口より徒歩3分 ・京成線 「京成船橋駅」より徒歩7分 |
|---|---|
| 診療時間 | 10:00~13:30 / 14:30~19:00 (土曜:9:00~12:30 / 13:30~17:00) |
| 休診日 | 祝日 ※最終受付は診療終了の1時間前です |
| 所在地 | 千葉県船橋市本町6丁目6-1 北翔ビル3F |
| 最寄り駅 | JR「大宮駅」より徒歩1分 |
|---|---|
| 診療時間 | 10:00~12:30 / 14:30~19:00(土日:9:00~12:30 / 13:30~16:00) |
| 休診日 | 木曜、祝日 |
| 所在地 | 埼玉県さいたま市大宮区桜木町2-1-1 大宮アルシェ B1F |
| 最寄り駅 | ・東西線「西11丁目駅」より徒歩4分 ・各線「大通駅」より徒歩8分 |
|---|---|
| 診療時間 | 10:00~13:30 / 14:30~19:00(土曜: 9:00~12:30 / 13:30~17:00) |
| 休診日 | 水曜、日曜、祝日 ※最終受付は診療終了の1時間前です |
| 所在地 | 北海道札幌市中央区南1条西9-1-2 第二北海ビル 5F |
| 最寄り駅 | ・地下鉄東山線・名城線「栄駅」より徒歩10分 ・地下鉄名城線「矢場町駅」より徒歩15分 |
|---|---|
| 診療時間 | 10:00~19:00 |
| 休診日 | 不定休 |
| 所在地 | 〒460-0008 愛知県名古屋市中区栄3-11-16 SOK住吉ビル3階 |
| 最寄り駅 | JR「静岡駅」より徒歩10分 |
|---|---|
| 診療時間 | 10:00~12:30 / 14:30~19:00 (土曜:9:00~12:30 / 13:30~16:00) |
| 休診日 | 金曜、日曜、祝日 |
| 所在地 | 静岡県静岡市葵区呉服町2-8-1 アイランドプラザビル 4F |
| 最寄り駅 | ・JR「金沢駅」より車で6分 ・バス停「金沢駅東口」から「香林坊」まで 乗車8分 |
|---|---|
| 診療時間 | 10:00~13:30 / 14:30~19:00 (土曜:10:00~12:30 / 13:30~17:00) |
| 休診日 | 木曜、日曜、祝日 ※最終受付は診療終了の1時間前です |
| 所在地 | 石川県金沢市香林坊1-1-1 香林坊アトリオビル4F |
| 最寄り駅 | JR「新潟駅」より徒歩10分/ 車で5分 |
|---|---|
| 診療時間 | 10:00~12:30 / 14:30~19:00(土日:9:00~12:30 / 13:30~16:00) |
| 休診日 | 月曜、金曜、祝日 |
| 所在地 | 新潟県新潟市中央区万代3-1-1 新潟日報メディアシップ4F |
| 最寄り駅 | 南北線「広瀬通駅」より徒歩5分 東西線「青葉通一番町駅」より徒歩3分 |
|---|---|
| 診療時間 | 10:00~12:30 / 14:30~19:00(土曜:9:00~12:30 / 13:30~16:00) |
| 休診日 | 月曜、金曜、祝日 |
| 所在地 | 宮城県仙台市青葉区一番町3-1-18 しまぬきビル 2F |
| 最寄り駅 | ・地下鉄「西梅田駅」より徒歩1分 ・JR「大阪駅」より徒歩5分 |
|---|---|
| 診療時間 | 10:00~12:30 / 14:30~19:00(土日祝:9:00~12:30 / 13:30~16:00) |
| 休診日 | なし |
| 所在地 | 大阪府大阪市北区梅田2-1-21 レイズ梅田ビル 3F |
| 最寄り駅 | ・御堂筋線・長堀鶴見緑地線「心斎橋駅」より徒歩1分 ・四つ橋線「四ツ橋駅」より徒歩2分 |
|---|---|
| 診療時間 | 10:00~19:00 |
| 休診日 | 不定休 |
| 所在地 | 〒542-0085 大阪府大阪市中央区心斎橋筋1丁目10-12 グルメビル トレス 7階 |
| 最寄り駅 | ・京阪本線「祇園四条駅」より徒歩1分 ・阪急京都線「河原町駅」より徒歩1分 |
|---|---|
| 診療時間 | 10:00~12:30 / 14:30~19:00(土曜:9:00~12:30 / 13:30~16:00) |
| 休診日 | 火曜、日曜、祝日 |
| 所在地 | 京都府京都市下京区四条通小橋西入真町90番 吉寿屋四条ビル 5F |
| 最寄り駅 | 各線「三ノ宮駅」より徒歩1分 |
|---|---|
| 診療時間 | 10:00~12:30 / 14:30~19:00(土曜:9:00~12:30 / 13:30~16:00) |
| 休診日 | 金曜、日曜、祝日 |
| 所在地 | 京都府京都市下京区四条通小橋西入真町90番 吉寿屋四条ビル 5F |
| 最寄り駅 | ・地下鉄「天神駅」より徒歩5分 ・西鉄「福岡(天神)駅」より徒歩5分 |
|---|---|
| 診療時間 | 10:00~12:30 / 14:30~19:00(土曜:9:00~12:30 / 13:30~16:00) |
| 休診日 | 水曜、日曜、祝日 |
| 所在地 | 福岡県福岡市中央区大名2丁目1番7号 FPG links DAIMYO5F |
| 最寄り駅 | 熊本市電A系統・B系統「水道町駅」より徒歩5分 |
|---|---|
| 診療時間 | 10:00~12:30 / 14:30~19:00(土曜:9:00~12:30 / 13:30~16:00) |
| 休診日 | 月曜、日曜、祝日 |
| 所在地 | 熊本県熊本市中央区上通町7-2 モアーズビル上通 2F |