• ※1 デンタルローンを利用して7回コース(税込319,000円)を頭金なし・96回払いで支払う場合の手数料抜き・税別の分割支払金額です。
  • ※2 一部のクリニックはローン非対応。 ※3 信販会社や手数料はクリニックにより異なります。
  • ※4 2023年1月現在
  • ※5 2021年6月実施・歯の印象に関する意識調査 ・20~40代の男女300名・直近5年以内の歯科矯正経験者が回答
費用が高額なため、諦めてしまう人がいる。

キレイライン矯正でこれまでにない新しい矯正体験を

はじめにこれだけは知ってほしい

費用が高額なため、諦めてしまう人がいる。
イメージ

※すべての方の悩みや症状に当てはまるわけではありません。



透明で目立たないので周りにほとんど気づかれない


マウスピース矯正の、ここがすごい

もっと 可愛くなりたい!
ポイント1

透明で目立たないので周りにほとんど気づかれない

透明で目立たないので周りにほとんど気づかれない

透明なのでほとんど周りに気づかれません。
接客業やモデルの方、人前で話す職業の方にも、
とても人気のある矯正法です。


透明で目立たないので周りにほとんど気づかれない
ポイント2

取り外しがかんたんで食事も気にせず楽しめる

取り外しがかんたんで食事も気にせず楽しめる
食べ物は美味しく食べたい!

かんたんに取り外すことができるので、
デートや食事の時も、普段と変わらない生活を
楽しむことができます。

※1日20時間以上の装着が必要です

ポイント3

痛みが少なく、日常生活も快適

痛みが少なく、日常生活も快適
痛みが少なくて嬉しい!

従来のワイヤー矯正に比べて、
痛みを感じにくく、口内炎ができる
心配も少ないです。
今と変わらない生活を送りやすいです。

ポイント4

目安は最短5ヶ月短い期間でサクッと治療完了

目安は最短5ヶ月短い期間でサクッと治療完了

歯の矯正は2年~3年程かかると
思っていませんか?キレイライン矯正の
目安の治療期間は約4ヶ月〜1年程度です

※治療期間には個人差があります。
※保定期間は含みません。キレイライン矯正に限らず、すべての
矯正歯科治療において、治療終了後は後戻りを防ぐため保定期間が必要です。



ワイヤー矯正とマウスピース矯正の比較まとめ
でも、マウスピース矯正って金額が高いのでは?

従来のマウスピース矯正の相場は80〜100万円程度。(自社調べ)

目立たないマウスピース矯正をしたいと思っても
「100万円払うほどではないかな...」と、
諦めてしまう方が多くいました。

そこに向き合ったのが、キレイライン。

「治療の質は高いまま」金額を大幅に下げることにいち早く成功した新しい矯正法が「キレイライン矯正」です。









かんたん3分
相談だけでもOK
まずはクリニックを選んで初回検診を予約する

※初回検診には3,300円(税込)〜の検診費用がかかります。
※金額はクリニックによって異なりますので、予約画面にてご確認ください。






実際いくらで、どのくらい歯並びが変わる?



どれくらい キレイになるかな♪

あなたの歯並びが、いくらでどのくらいキレイになるのか、ぜひイメージしながら症例をご覧ください。

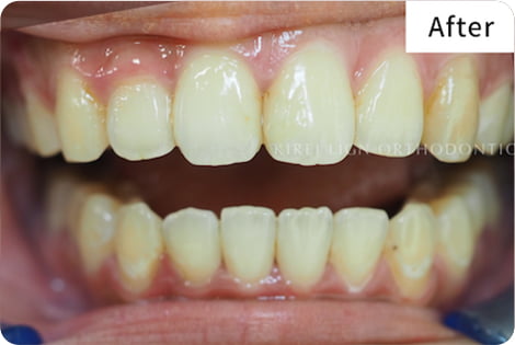
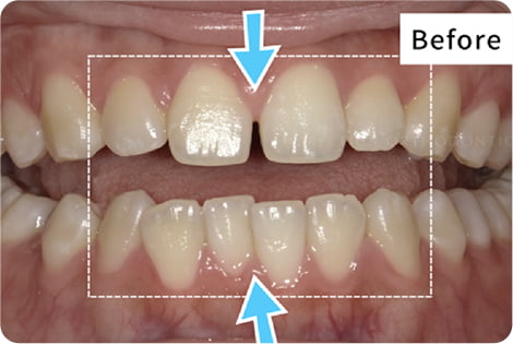
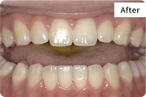
すきっ歯の症例

キレイライン矯正の前
キレイライン矯正の後
  • 治療期間

    4ヶ月

  • 治療費用(4回実施)

    16万(税込176,000円)

  • 追加治療

    なし

  • 再診料

    4回 12,000円(税込13,200円)

※効果には個人差があります。

歯科矯正の相場は100万円前後ですが、こちらの患者様は、ホワイトニング剤も付いて、16万円(税込176,000円)。分割払いを使えば、月3,000円程度でここまで歯並びをキレイにすることができます。

※デンタルローンを利用して7回コース(税込319,000円)を頭金なし・96回払いで支払う場合の手数料抜き・税別の分割支払金額です。
※一部のクリニック除く。信販会社や手数料はクリニックにより異なります。

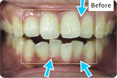
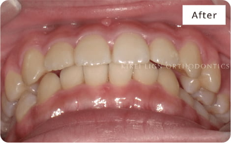
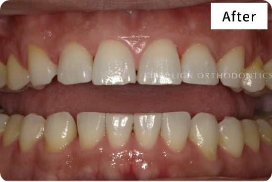
ガタガタな歯の症例

キレイライン矯正の前
キレイライン矯正の後
  • 治療期間

    11ヶ月

  • 治療費用(5回実施)

    21万円(税込231,000円)

  • 追加治療

    拡大床(上下)8万円(税込88,000円)

  • 再診料

    5回 15,000円(税込16,500円)

※効果には個人差があります。

※拡大床は、キレイライン矯正による矯正歯科治療の一環ではありません。

患者様のご要望や症状により医師の判断のもと行われる「クリニックの治療」に該当しますので、詳細は提携クリニックに直接ご確認ください。

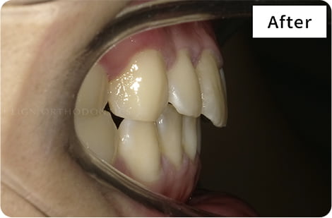
出っ歯の症例

キレイライン矯正の前
キレイライン矯正の後
  • 治療期間

    8ヶ月

  • 治療費用(4回実施)

    16万(税込176,000円)

  • 追加治療

    拡大床(上下)8万円(税込88,000円)

  • 再診料

    4回 12,000円(税込13,200円)

※効果には個人差があります。

※拡大床は、キレイライン矯正による矯正歯科治療の一環ではありません。患者様のご要望や症状により医師の判断のもと行われる「クリニックの治療」に該当しますので、詳細は提携クリニックに直接ご確認ください。

他の症例をもっと見る

出っ歯の症例

キレイライン矯正の前
キレイライン矯正の後
  • 治療期間

    1

  • 治療費用(6回実施)

    26万円(税込286,000円)

  • 追加治療

    拡大床(上下)8万円(税込88,000円)

  • 再診料

    6回 18,000円(税込19,800円)

※効果には個人差があります。

※拡大床は、キレイライン矯正による矯正歯科治療の一環ではありません。患者様のご要望や症状により医師の判断のもと行われる「クリニックの治療」に該当しますので、詳細は提携クリニックに直接ご確認ください。

すきっ歯・ガタガタな歯の症例

キレイライン矯正の前
キレイライン矯正の後
  • 治療期間

    5ヶ月

  • 治療費用(4回実施)

    16万(税込176,000円)

  • 追加治療

    IPR(1回)3千円(税込3,300円)※クリニックにより費用は異なります

  • 再診料

    4回 12,000円(税込13,200円)

※効果には個人差があります。

※IPRは、キレイライン矯正による矯正歯科治療の一環ではありません。患者様のご要望や症状により医師の判断のもと行われる「クリニックの治療」に該当しますので、詳細は提携クリニックに直接ご確認ください。

ガタガタな歯の症例

キレイライン矯正の前と後
  • 治療期間

    15ヶ月

  • 治療費用(10回実施)

    42万円(税込462,000円)

  • 追加治療

    拡大床(上下)8万円(税込88,000円)

  • IPR(4回)1万2千円(税込13,200円)※クリニックにより費用は異なります

  • 前歯削合(形態修正)あり※患者様のご要望による治療です

  • 左右2番ラミネートベニア使用※患者様のご要望による治療です

  • 再診料

    8回 24,000円(税込26,400円)

※効果には個人差があります。

※拡大床・IPR・削合・ラミネートベニアは、キレイライン矯正による矯正歯科治療の一環ではありません。患者様のご要望や症状により医師の判断のもと行われる「クリニックの治療」に該当しますので、詳細は提携クリニックに直接ご確認ください。

他の症例を閉じる
  • 効果には個人差があります。
  • お写真は全て患者様の許可を得て掲載しております。
  • お写真の歯の色の違いは、併用のホワイトニングによるものとは限りません。
  • 掲載している症例は、ホワイトニング併用の場合も含みます。ホワイトニングの追加費用は算出しておりませんのでご注意ください。
  • 治療回数を元に最新の料金を記載、期間は実際にかかった治療期間を記載しています。
  • 治療費用は、コースで購入した場合の費用です。
  • 初回検診費用(3,300円・税込〜)が別途発生します。金額はクリニックによって異なりますので、予約画面にてご確認ください。
  • リテーナー費用2〜6万円(上下・税別)が別途発生します。

主なリスク: 虫歯・歯肉炎・歯周病・ブラックトライアングル・歯根吸収・歯肉退縮・1日20時間以上のマウスピース装着が必須・マウスピースにより痛みを感じる可能性・治療中に一時的にかみ合わせに不具合をきたす可能性・リテーナーを最低1年間は1日20時間以上装着、その後徐々に着用時間を減らし、2年目以降は夜間のみの着用推奨。

  • 症例写真に関するご不明点やご質問がありましたら、メール・LINEにてお問い合わせください。 support@kireilign.com
    キレイライン矯正【サポート専用】はこちら

私の歯並び、結構ガタガタだけど 対応してる?本当にキレイになる?

キレイライン矯正

*上記の歯並びであっても、キレイライン矯正が適応外となる場合もございます。
注1, 注3:症状が強い場合は適応にならない場合があります。
注2:骨格性の開咬の場合は、治療適応外となります。
注3:骨格的な問題がなくても、お口の中の状態によっては「中心のずれ」を治すことは難しい場合があります。「中心のずれ」にはさまざまな原因があり、ワイヤー矯正など他の矯正治療においても一般的にその修正は困難な場合があります。

「すごく歯並びが悪いと、できないのでは?」
不安に思うかもしれません。

キレイライン矯正は、
多数の症例実績があるため
出っ歯・すきっ歯・八重歯・
ガタガタな歯など
様々な歯並びに対応できます。

キレイライン矯正は、多数の症例実績があるため、
出っ歯・すきっ歯・八重歯・ガタガタな歯など、
様々な歯並びに対応
できます。

キレイライン矯正提携クリニックカウンセラー

こんな方もキレイライン矯正は対応可能です!

上記以外でお悩みの場合も、状態により
キレイライン矯正で治療可能な場合はもちろんございます。

適応するのか、 どれくらいキレイになるのか、 ぜひお気軽に初回検診でご相談ください!

適応するのか、 どれくらいキレイになるのか、 ぜひお気軽に初回検診でご相談ください!

かんたん3分
相談だけでもOK
まずはクリニックを選んで初回検診を予約する

ボタンを押すと提携クリニックと
予約日が選択できるページに進みます。
(当日予約可能)

※初回検診には3,300円(税込)〜の検診費用がかかります。
※金額はクリニックによって異なりますので、予約画面にてご確認ください。




リーズナブルな歯科矯正の先駆けとしてキレイライン矯正は 10代・20代・30代~の多くの皆様に支持されております。

※キレイライン矯正の対象年齢は「前歯の歯根完成時期」の目安である、男性16歳以上・女性14歳以上です。

TVCM放映

「歯科矯正が2万円からできる、キレイライン矯正」
というキャッチコピーでTVCM放映

「歯科矯正が2万円からできる、キレイライン矯正」というキャッチコピーでTVCM放映

キレイライン矯正は、日本最大級のキャンパスミスコン 『Campus Award 2021』メインスポンサー

キレイライン矯正は、
自分らしく輝く女性を応援しています。

キレイライン矯正は、日本最大級のキャンパスミスコン 『Campus Award 2021』メインスポンサー

キレイライン矯正は、日本最大級のキャンパスミスコン 『Campus Award 2021』メインスポンサー

適応するのか、どれくらいキレイになるのか

全国40院以上あるキレイライン矯正の提携クリニックへぜひお気軽にお越しください!

仕事帰りに気軽に 友達と遊ぶついでに 買い物や美容院の後に

途中で転院もできますので*、まずはお近くのクリニックで 軽い気持ちでお話を聞いてみましょう!*同一法人の場合

提携クリニック40院以上に拡大中
提携クリニック40院以上に拡大中
提携クリニック
提携クリニック
提携クリニック
駅チカだから 忙しくても通いやすい♪

キレイラインの提携クリニックは
駅チカが多く、
平日でも19時〜20時まで診察している
クリニックも多数あります。

お休みの日の買い物の合間や、平日の仕事帰りに、
美容院に行くようなお気軽な気持ちで
ぜひ立ち寄ってみてください。

キレイライン矯正 初回検診の流れとメリット

初回検診のメリット

  • いくらでどのくらいキレイになるかすぐわかる!
  • 歯並びに関する悩みや不安を気軽に相談できる!
  • 自分の今の歯の状態を正しく知ることができる!
どんな歯並びに なるかな♪ワクワク
まずは予約して 話だけでも聞いてみよう♪
ステップ01
初回検診を予約する(約3分)

少しでも「歯並びをキレイにしたい」と思いましたら、ぜひ初回検診でお気軽にご相談ください。キレイラインで初回検診を予約すれば、詳しい診察とカウンセリングが受けられます。

かんたん3分
相談だけでもOK
まずはクリニックを選んで初回検診を予約する

※初回検診には3,300円(税込)〜の検診費用がかかります。
※金額はクリニックによって異なりますので、予約画面にてご確認ください。

お詫び

人気のクリニックは良い時間枠が早く埋まります。 恐れ入りますが、予約枠はこのページ内で確保いただけますようお願いたします。

  • 本人確認のため保険証をご持参ください。
  • 診察の結果、キレイライン矯正が適応できず治療ができない場合もございます。
    その場合も、初回検診料(3,300円〜)は発生します。
    金額はクリニックによって異なりますので、予約画面にてご確認ください。
  • 対象年齢は、男性は16歳以上・女性は14歳以上です。それ未満の患者様におかれましては適応外になる可能性がございます。初診時は予約フォームの備考欄に年齢を記載のうえ、ご相談いただければと思います。
  • 未成年者の場合、親権者から下記の同意書にサインをいただき印刷したものをご持参下さい。同意書がない場合は初回検診を受けることができませんので、ご注意ください。
    同意書はこちら​
私の歯並び、こうなってたんだ...!
ステップ02
自分の歯の状態を知る

※こちらはイメージ画像であり、レントゲンの画像とは異なります。

まずはレントゲンなどを撮影し、歯と顎の状態を診査・診断。「これまで気づかなかったけど、思っていたより歯並びが悪い」など、自分の歯の状態を正しく知ることのできるチャンスです。

あなたは ○回の治療でこのような歯並びに
ステップ03
いくらで、どのくらい 歯並びがキレイになるかを聞く

診査結果をもとに、歯科医師が何回の治療で、どの程度の歯並びになる見込みかなど、治療プランを丁寧に説明します。クリニックによっては歯並びの変化のシミュレーションもできます。

※シミュレーションはキレイライン矯正による提供ではなく、提携クリニックによるサービスです。
※必ずしもシミュレーションどおりになるとは限りません。

本当にキレイになる? 他の矯正法との違いは?
ステップ04
不安や疑問を解消する

ぜひあなたのお悩みを気軽に相談しましょう。ご希望をすべてお聞きし、あなたに適した解決プランをご提案します。どんな些細なことでも納得いくまでご相談ください。

キレイライン はじめようかな♪
ステップ05
キレイラインを始めるか決める

すべての不安が解消されましたら、キレイラインを始めるか判断しましょう。もちろん相談だけの方も大歓迎です。まずは1回2万円(税込22,000円)でお試しすることもできますので、ぜひお気軽にご相談ください。

キレイライン矯正をご契約された場合は、お得で嬉しいスターターキットも!

スターターキット

「可愛い!」と大好評の マウスピースケース付き

  • シリコン素材で
    持ち運びラクラク
  • 矯正してると
    わからない、バレない
  • 好きな色を選べる
ピンクが1番人気!

キレイライン矯正は、あなたが より快適に矯正できる環境を目指しています。

みなさまに気持ちよくご利用いただくために

キレイライン矯正3つの徹底

今はまだキレイライン矯正を始めるか 決めていない、という方でも大歓迎です!※

あなたのご来院をスタッフ一同、 心よりお待ちしております。

あなたのご来院をスタッフ一同、 心よりお待ちしております。

かんたん3分
相談だけでもOK
まずはクリニックを選んで初回検診を予約する

※初回検診には3,300円(税込)〜の検診費用がかかります。
※金額はクリニックによって異なりますので、予約画面にてご確認ください。

お詫び

人気のクリニックは良い時間枠が早く埋まります。 恐れ入りますが、予約枠はこのページ内で確保いただけますようお願いたします。

旅行、脱毛、ジムなど色々したくて
つい後回しにしがちな歯科矯正…

なぜ今、多くの人が歯科矯正をはじめるの?

今、矯正が人気なのは清潔感が上がり、顔の印象が大きく変化するから

顔の印象が大きく変化するから。※治療効果ではなく、加工によるイメージ画像です。
写真で思いっきり歯を出して笑える!

「芸能人は歯が命」と言われるほど、歯のケアはとても大切。

歯並びが美しく整うことで、清潔感がアップしたり、結果的に顔の形や見た目の印象に良い効果を得ることが期待できます。※効果には個人差があります

直接指摘する人は少ないですが、無意識に歯並びを見てる人、実は意外と多いんです。
男女1,000人が回答!歯並びは第一印象を左右する?「歯並びは第一印象を左右する」と回答した人は、なんと72%も!
見た目以外にも、あなたの生活にこんなメリットがあります
  • ・食べカスが詰まりにくい&歯磨きがしやすく、虫歯や歯周病のリスクが減る

  • ・口呼吸が減り、乾燥による口臭トラブルが軽減される

  • 滑舌の改善が期待できる

※効果には個人差があります

健康で清潔感のある歯が日常生活をもっと快適に!
今が歯科矯正ブーム!?
マスクをつけていて、口元が見えない リモートワークで、おうち時間が増えた そんな今が、歯科矯正をはじめる絶好のタイミング!

マスクで口が隠れてるから、矯正しても良いかも

仕事がリモートになり、他の人と会わないから矯正しようかな

そういった方が今増えています。

いつか矯正したいと思っている
なら、こっそり矯正を
はじめられる今が良い
タイミング
です!

今が良いタイミングです!

想像してみてください。

半年後、あなたの歯がキレイになって、
写真を撮る時も、好きな人の前でも、
思いっきり笑うことができたら、嬉しいと思いませんか?

今年こそ「歯並びキレイになった!矯正してよかった!」
そんな素敵な日を、キレイラインと迎えませんか?

さあ、変わるなら今です。

まずは一度、お話だけでも聞いてみませんか

かんたん3分
相談だけでもOK
まずはクリニックを選んで初回検診を予約する

※初回検診には3,300円(税込)〜の検診費用がかかります。
※金額はクリニックによって異なりますので、予約画面にてご確認ください。

お詫び

人気のクリニックは良い時間枠が早く埋まります。 恐れ入りますが、予約枠はこのページ内で確保いただけますようお願いたします。

日本全国一律同じ料金!キレイライン矯正 料金プラン

明朗会計で わかりやすい♪

キレイライン矯正は本当に安心して受けられますか?

キレイライン矯正は、マウスピース矯正の治療経験が豊富な歯科医師が監修している治療法です。

またキレイライン矯正のマウスピースを歯科医師の指示のもとデザインするのは、『日本の国家資格を持つ歯科技工士』です。
歯のプロフェッショナルである歯科技工士が、膨大な研究実験から得られたデータを元にデザインするため、高い効果を期待できます。

なぜこんなにリーズナブル?ワイヤー矯正に比べて効果は減ってしまいますか?

キレイライン矯正では「価格を理由に歯科矯正を諦めてほしくない」という想いのもと、日々品質の向上と適正価格限界で提供するため、企業努力を重ねています。

軽〜中度の歯列の歪みであれば、ワイヤー矯正同等の効果が期待できます。

また、キレイライン矯正で使用しているマウスピースは、高精度な歯列デザイン技術を元に製造しており、的確な方向に力をかけて歯を動かせます。

誤った方向に動かしてしまうことがほぼないという点でにおいては、従来のワイヤー矯正よりも効率的と言えます。

私の歯並びはかなりガタガタです。私みたいな歯並びでもキレイライン矯正で理想の歯並びになれるのでしょうか?

「歯並びが悪いとマウスピース矯正ができないのでは?」というイメージがあるかもしれませんが、多くの方がキレイライン矯正でキレイな歯並びを目指せる症状です。

適応外と診断された方の割合は、参考値ですが7〜10%程度※です。

2019年11月:10.6%
2019年12月:7.4%

※高田馬場駅前矯正歯科の2019年11〜12月の実績値。 拡大床併用、IPR、抜歯など提携クリニックによる治療を含めた矯正歯科治療が対象。 キレイライン矯正後にワイヤー矯正等の他の矯正治療に移行した患者様を含める。

正しい判断のためには、初回検診で歯科医師が口腔内を診察する必要がございます。ぜひお気軽にお越し下さい。

抜歯をすることはありますか?

キレイライン矯正では、「できる限り、健康な歯を抜かない・削らない治療」を基本方針としています。

症状が強くてどうしても抜歯が必要な場合には行いますが、拡大床の併用やIPR(削る治療)によって対応できる場合には、健康な歯はなるべく抜きません。

※抜歯・拡大床・IPR(削る処置)はいずれもキレイライン矯正による治療の一環ではなく、提携クリニックによる治療です。詳細はクリニックへお問い合わせ下さい。

私はまだ学生なのですが、体育の授業や部活中など、運動時にもつけていても大丈夫ですか?

もちろん運動時も装着可能です。どうしても不安のある方は歯科医師にご相談ください。

キレイライン矯正に対象年齢はありますか? 子どもでもできますか?

キレイラインの対象年齢は、第2大臼歯萌出後(目安は12歳以降)が適応※となりますが、対象年齢は男性は16歳以上、女性は14歳以上とさせて頂いております。対象年齢に上限はございません。

※近い年齢の患者様においては、強いご希望があれば要相談とさせていただいております。

インプラントをしていても利用できますか?

前歯部にインプラントがある方は、残念ながらキレイラインを利用できません。

一日の装着時間はどのくらいですか?

効果的に治療を進めるため、就寝中も含め20時間以上の装着をおすすめしております。

妊婦中でも矯正は受けられますか?

レントゲン撮影があるため、妊娠されている方は初回検診予約時にご相談ください。

初回検診の方法により、治療可能な場合があります。まずはご相談ください。

妊娠前に既にレントゲン撮影を済ませている場合は、妊娠後もそのまま矯正治療の継続が可能です。(通常レントゲンは、治療開始前と終了時の2回撮影します。 治療終了時に妊娠が確認された場合は、出産後に撮影を行います。)

支払い方法はクレジットカードも可能ですか?

提携クリニックによって取扱のカードが異なる場合がありますが、クレジットカードの利用は可能です。

どのくらいのお金と期間がかかるか分からないため、まず相談をお願いしたいです。相談後にキャンセルすることは可能ですか?

もちろん可能です。まずは、検診をして治療計画を立てましょう。検診後に考え直しやキャンセルをすることもできます。まずはお気軽にお越しください。※初回検診では正確な施術回数がわからないこともございます。

どの提携クリニックに 行けばいいの?

キレイライン矯正は 日本全国どのクリニックでも同じ料金。※ 同品質の治療を目指しています。

キレイライン矯正 同価格 同品質

歯科矯正は通常、クリニックにより料金が大きく異なるのが特徴。

しかしキレイライン矯正は、全国どの提携クリニックでも一律同じ料金。はじめての方でもわかりやすい料金設定にしました。

全国の皆様に同品質の治療を受けていただけるよう努めています。

※初回検診料、および再診料は各提携クリニックにより多少前後します。
※IPR、抜歯など提携クリニックによる治療費用は各提携クリニックにより異なります。

どのクリニックが合っているか、 まずはあなたが通いやすい駅にある 提携クリニックへお越しください!

最後に

ここまでページをご覧いただきありがとうございます。

ここまでご覧頂いた方は、きっと歯の矯正に興味を持っていただいている方だと思います。

歯の矯正はハードルが高く感じられて、一歩がなかなか踏み出しにくいですよね。

その気持ちはとてもよくわかります。

しかし、今、歯の矯正に興味を持っているのであれば、
その一歩を踏み出して頂きたいです。

歯並びがキレイになることで、

「よく笑うようになって可愛くなったねと言われるようになった!」
「写真で歯を見せて笑えるようになって嬉しい!」
「歯に食べ物が詰まることがなくなった!」

といった喜びの声をたくさん頂きます。

歯並びが良くなった後の未来は、歯の矯正をした人にしか見ることはできません。

自分の歯とは一生付き合っていくことになります。
ぜひ、歯の矯正をして整った美しい歯を手に入れてください。

将来、あなたが歯の矯正を終えた時に、
「あの時に行動して本当に良かった!」
そう思える日が来ることを願っています。

まずは、気軽に初回検診にお越しください。
あなたの来院をお待ちしております。

かんたん3分
相談だけでもOK
まずはクリニックを選んで初回検診を予約する

※初回検診には3,300円(税込)〜の検診費用がかかります。
※金額はクリニックによって異なりますので、予約画面にてご確認ください。

お詫び

人気のクリニックは良い時間枠が早く埋まります。 恐れ入りますが、予約枠はこのページ内で確保いただけますようお願いたします。